Laboratory Animal and Comparative Medicine ›› 2026, Vol. 46 ›› Issue (2): 205-211.DOI: 10.12300/j.issn.1674-5817.2025.092
• Animal Models of Human Diseases • Previous Articles Next Articles
CUI Changwan, LU Yiping, YU Miao, WANG Shuang, WU Si, SUN Zhengrong(
)(
)
Received:2025-06-19
Revised:2025-10-10
Online:2026-04-25
Published:2026-04-18
Contact:
SUN Zhengrong
CLC Number:
CUI Changwan,LU Yiping,YU Miao,et al. Inhibitory Effect of Solute Carrier Family 7 Member 5 Inhibitor JPH203 on Renal Fibrosis Induced by Unilateral Ureteral Obstruction in Mice[J]. Laboratory Animal and Comparative Medicine, 2026, 46(2): 205-211. DOI: 10.12300/j.issn.1674-5817.2025.092.
Add to citation manager EndNote|Ris|BibTeX
URL: https://www.slarc.org.cn/dwyx/EN/10.12300/j.issn.1674-5817.2025.092
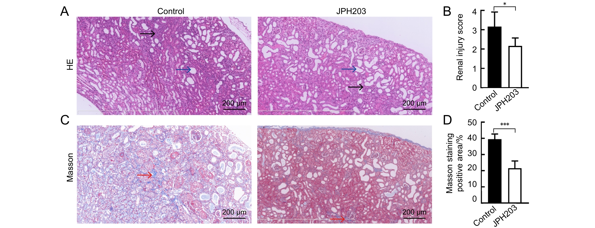
Figure 1 Changes of kidney tissues in UUO-induced C57BL/6 mice after JPH203 treatment
Figure 2 Effects of JPH203 treatment on the expressions of fibroblast activation molecules in kidney tissues of UUO-induced C57BL/6 mice
Figure 3 Changes in protein and mRNA levels in kidney tissues of UUO-induced C57BL/6 mice after JPH203 treatment
| [1] | LI L, FU H Y, LIU Y H. The fibrogenic niche in kidney fibrosis: components and mechanisms[J]. Nat Rev Nephrol, 2022, 18(9):545-557. DOI:10.1038/s41581-022-00590-z . |
| [2] | KANAI Y. Amino acid transporter LAT1 (SLC7A5) as a molecular target for cancer diagnosis and therapeutics[J]. Pharmacol Ther, 2022, 230:107964. DOI:10.1016/j.pharmthera. 2021.107964 . |
| [3] | HUANG H R, ZHENG S M, WU J N, et al. Opsonization inveigles macrophages engulfing carrier-free bilirubin/JPH203 nanoparticles to suppress inflammation for osteoarthritis therapy[J]. Adv Sci, 2024, 11(22):1-20. DOI:10. 1002/advs.202400713 . |
| [4] | SAITO S, ANDO K, SAKAMOTO S, et al. The LAT1 inhibitor JPH203 suppresses the growth of castration-resistant prostate cancer through a CD24-mediated mechanism[J]. Cancer Sci, 2024, 115(7):2461-2472. DOI:10.1111/cas.16191 . |
| [5] | WU T G, YU Z Z, DAI J H, et al. JPH203 alleviates peritoneal fibrosis via inhibition of amino acid-mediated mTORC1 signaling[J]. Biochem Biophys Res Commun, 2024, 734:150656. DOI:10.1016/j.bbrc.2024.150656 . |
| [6] | SZWED A, KIM E, JACINTO E. Regulation and metabolic functions of mTORC1 and mTORC2[J]. Physiol Rev, 2021, 101(3):1371-1426. DOI:10.1152/physrev.00026.2020 . |
| [7] | WU R Y, LI J W, TU G W, et al. Comprehensive molecular and cellular characterization of acute kidney injury progression to renal fibrosis[J]. Front Immunol, 2021, 12:1-8. DOI:10.3389/fimmu.2021.699192 . |
| [8] | GYIMESI G, HEDIGER M A. Transporter-mediated drug delivery[J]. Molecules, 2023, 28(3):1-52. DOI:10.3390/molecules28031151 . |
| [9] | BAO L Y, FU L Z, SU Y J, et al. Amino acid transporter SLC7A5 regulates cell proliferation and secretary cell differentiation and distribution in the mouse intestine[J]. Int J Biol Sci, 2024, 20(6):2187-2201. DOI:10.7150/ijbs.94297 . |
| [10] | LEE Y C, JIN C H, OHGAKI R, et al. Structural basis of anticancer drug recognition and amino acid transport by LAT1[J]. Nat Commun, 2025, 16(1):1-12. DOI:10.1038/s41467-025-56903-w . |
| [11] | HAYASHI K, SAEKI M, MIURA K, et al. JPH203, a LAT1 inhibitor, alleviates steroid-resistant murine airway inflammation mediated by Th17 cells[J]. Allergy, 2023, 78(10):2780-2783. DOI:10.1111/all.15798 . |
| [12] | HÄFLIGER P, GRAFF J, RUBIN M, et al. The LAT1 inhibitor JPH203 reduces growth of thyroid carcinoma in a fully immunocompetent mouse model[J]. J Exp Clin Cancer Res, 2018, 37(1):234. DOI:10.1186/s13046-018-0907-z . |
| [13] | KAHLHOFER J, TEIS D. The human LAT1-4F2hc (SLC7A5-SLC3A2) transporter complex: Physiological and patho-physiological implications[J]. Basic Clin Pharmacol Toxicol, 2023, 133(5):459-472. DOI:10.1111/bcpt.13821 . |
| [14] | MARKOWICZ-PIASECKA M, HUTTUNEN J, MONTASER A, et al. Hemocompatible LAT1-inhibitor can induce apoptosis in cancer cells without affecting brain amino acid homeostasis[J]. Apoptosis, 2020, 25(5-6):426-440. DOI:10.1007/s10495-020-01603-7 . |
| [15] | KIM Y A, GU H, GWON M G, et al. Synthetic non-coding RNA for suppressing mTOR translation to prevent renal fibrosis related to autophagy in UUO mouse model[J]. Int J Mol Sci, 2022, 23(19):1-13. DOI:10.3390/ijms231911365 . |
| [16] | PEI X L, ZHENG F X, LI Y, et al. Niclosamide ethanolamine salt alleviates idiopathic pulmonary fibrosis by modulating the PI3K-mTORC1 pathway[J]. Cells, 2022, 11(3):1-22. DOI:10.3390/cells11030346 . |
| [1] | LIU Sai, FU Bin, LI Sidi, CHEN Zhida, ZHANG Yue, GUO Zhongkun, WANG Yongan, WANG Kezhou. Adra2a Regulates LPS-Induced Inflammation in Hepatocytes of Lbp-/- Mice via the MAPK Signaling Pathway [J]. Laboratory Animal and Comparative Medicine, 2026, 46(2): 212-221. |
| [2] | ZHAO He, ZHANG Tao, LI Li, XIAO Yuzhou, AN Xuefang, ZHANG Fan. Enhancement Effect of Porcine Inhibin Polyclonal Antibody on Superovulation in C57BL/6J Mice [J]. Laboratory Animal and Comparative Medicine, 2026, 46(2): 271-278. |
| [3] | WU Xianwen, LIU Lili, CHEN Ye, XU Guoheng. Optimization of Cage-Changing Intervals and Wood Shavings Usage for Mice During the Growth Phase in Breeding Systems [J]. Laboratory Animal and Comparative Medicine, 2026, 46(2): 251-260. |
| [4] | RONG Wenshuang, NIU Yuanfei, LIU Meiting, YANG Mengyuan, CUI Shuang, MA Lina, FU Yao, WANG Lianmei, CAO Junling. Influence of Antigen Type on the Establishment of an Induced Sjögren Syndrome Mouse Model [J]. Laboratory Animal and Comparative Medicine, 2026, 46(2): 178-190. |
| [5] | XU Bo, CHEN Tairen, FANG Qian, WU Ji. Research on Spatiotemporal Gene Expression Profiles and Repair Mechanisms of Spinal Cord Compression and Hemisection Spinal Cord Injury Mouse Models [J]. Laboratory Animal and Comparative Medicine, 2026, 46(1): 32-45. |
| [6] | XU Yingtao, WANG Mengmeng, LIN Ping, CHI Haitao, WANG Yi, BAI Ying. Exosomes Treat Ischemic Stroke by Regulation of Ferroptosis Through the NRF2/SLC7A11/GPX4 Pathway in Mice [J]. Laboratory Animal and Comparative Medicine, 2026, 46(1): 20-31. |
| [7] | YANG Lin, JIN Meng, WU Hanqing, LI Shun, ZHOU Xiaohui. Establishment and Preliminary Analysis of an AG6 Mouse Encephalopathy Model Induced by Vaccinia Virus Tiantan Strain Infection [J]. Laboratory Animal and Comparative Medicine, 2026, 46(1): 3-10. |
| [8] | LIU Chang, XIANG Xuesong, HE Huihuang, CHEN Xiaoqing, QIU Wenhong. Establishment and Evaluation of an Oxidative Stress Model of Atopic Dermatitis Induced by 2,4-dinitrofluorobenzene [J]. Laboratory Animal and Comparative Medicine, 2026, 46(1): 46-54. |
| [9] | NIE Yongqiang, WANG Zhaoxia. Exploration and Practice of Building a One-Stop Service Platform for Gene-Edited Mice in University Animal Centers: A Case Study of Shanghai Jiao Tong University [J]. Laboratory Animal and Comparative Medicine, 2025, 45(5): 642-648. |
| [10] | WANG Chao, LI Shun, REN Xiaonan, YANG Hua, CHEN Lixiang, XU Chunhua, ZHOU Xiaohui. Aging Inhibits Memory Immune Response of CD8+ T Cells in Lungs of C57BL/6J Mice Against Influenza A (H1N1) Virus [J]. Laboratory Animal and Comparative Medicine, 2025, 45(5): 515-523. |
| [11] | LIU Yueqin, XUE Weiguo, WANG Shuyou, SHEN Yaohua, JIA Shuyong, WANG Guangjun, SONG Xiaojing. Observation of Digestive Tract Tissue Morphology in Mice Using Probe-Based Confocal Laser Endomicroscopy [J]. Laboratory Animal and Comparative Medicine, 2025, 45(4): 457-465. |
| [12] | KONG Zhihao, WEI Xiaofeng, YU Lingzhi, FENG Liping, ZHU Qi, SHI Guojun, WANG Chen. Isolation and Identification of Staphylococcus xylosus in Nude Mice with Squamous Skin Scurfs [J]. Laboratory Animal and Comparative Medicine, 2025, 45(3): 368-375. |
| [13] | XU Qiuyu, YAN Guofeng, FU Li, FAN Wenhua, ZHOU Jing, ZHU Lian, QIU Shuwen, ZHANG Jie, WU Ling. A Mouse Model of Polycystic Ovary Syndrome Established Through Subcutaneous Administration of Letrozole Sustained-Release Pellets and Hepatic Transcriptome Analysis [J]. Laboratory Animal and Comparative Medicine, 2025, 45(2): 119-129. |
| [14] | LIU Rongle, CHENG Hao, SHANG Fusheng, CHANG Shufu, XU Ping. Study on Cardiac Aging Phenotypes of SHJH hr Mice [J]. Laboratory Animal and Comparative Medicine, 2025, 45(1): 13-20. |
| [15] | WU Zhihao, CAO Shuyang, ZHOU Zhengyu. Establishment of an Intestinal Fibrosis Model Associated with Inflammatory Bowel Disease in VDR-/- Mice Induced by Helicobacter hepaticus Infection and Mechanism Exploration [J]. Laboratory Animal and Comparative Medicine, 2025, 45(1): 37-46. |
| Viewed | ||||||
|
Full text |
|
|||||
|
Abstract |
|
|||||