Please wait a minute...
Toggle navigation
首页
期刊介绍
基本信息
历史沿革
创刊40周年
编委会
现任编委
历任编委
青年编委
顾问编委
期刊政策
投稿指南
伦理道德
编辑与评审
更正与撤稿
开放获取
版权与存储
投稿必看
稿件要求细则
伦理道德细则
附件模板下载
在线期刊
当期文献
过刊浏览
重点文章
多媒体
视频
讲座
科普
合作服务
科研通讯
刊务理事单位
广告合作
期刊订阅
纸质订阅
电子订阅
联系我们
English
在线办公
作者投稿
专家审稿
主编审稿
编辑办公
主管:上海科学院
主办:上海市实验动物学会
上海实验动物研究中心
主编:王 健
邮发代号:4-789
国际刊号:ISSN 1674-5817
国内刊号:CN 31-1954/Q
检索
文章检索
年期检索
高级检索
友情链接
中国实验动物信息网
上海市实验动物学会
上海实验动物研究中心
上海科学院
中国知网
万方医学网
PubMed
DOAJ
Laboratory Animals
Comparative Medicine
动物模型与实验医学(英文)
中国实验动物学报
中国比较医学杂志
中国图书馆分类法
术语在线
更多>>
刊务理事单位
更多>>
当期目录
2021年 第41卷 第3期 刊出日期:2021-06-25
上一期
下一期
创刊40周年专题:各地实验动物科学发展
黑龙江省实验动物管理现状与发展对策
李宝龙, 王玉娥, 司昌德, 李昌文, 刘怀然, 郭守利, 韩凌霞, 刘景利, 李永明, 陈洪岩
2021, 41(3): 181-189. DOI:
10.12300/j.issn.1674-5817.2021.043
摘要
(
860
)
HTML
(
187
)
PDF
(866KB) (
784
)
参考文献
|
相关文章
|
计量指标
实验动物作为生命科学研究、医药发展不可替代的基础支撑条件及战略性生物资源,其重要性日益显现。本文在总结国内实验动物行业发展的基础上,重点分析、阐述了黑龙江省实验动物发展现状及管理上存在的问题,并提出了发展对策。通过完善黑龙江省实验动物相关法规、规章,加强行政许可管理,改善生产条件,提升质量,保障运输与供应,支持实验动物科学研究,促进人才培养,加强生物安全管控,从而驱动实验动物行业发展,提高其对生物医药行业的支撑保障能力,为促进地方经济、社会、民生乃至科技发展作出应有的贡献。
山西省实验动物资源共享服务平台建设现状及发展对策
张锐虎, 王春芳, 宋国华, 陈朝阳
2021, 41(3): 190-194. DOI:
10.12300/j.issn.1674-5817.2020.207
摘要
(
1005
)
HTML
(
246
)
PDF
(701KB) (
751
)
图表数据
|
参考文献
|
相关文章
|
计量指标
本文从资源建设、共享服务和人才培养等方面,对山西省实验动物资源共享服务平台的建设情况进行总结,并结合国内先进发达地区的建设经验和未来的发展趋势,对山西省实验动物资源共享工作中存在的问题进行了深入剖析,为平台建设和发展提出对策和方向。
创刊40周年专题:标准与指南
2020版美国兽医协会动物安乐死指南解析
卢今, 张颖, 潘学营, 王剑, 严国锋, 周晶, 朱莲, 陈学进, 李垚, 庞万勇
2021, 41(3): 195-206. DOI:
10.12300/j.issn.1674-5817.2021.086
摘要
(
3415
)
HTML
(
542
)
PDF
(963KB) (
2373
)
图表数据
|
参考文献
|
相关文章
|
计量指标
巴比妥酸盐及其衍生物的过量注射是绝大多数动物种类首选的安乐死方法,然而在此类药物不能或很难获得时,兽医可参考美国兽医协会现行版《动物安乐死指南》(AVMA Guidelines for the Euthanasia of Animals)(简称《指南》)选用其他合适的安乐死方法。2020版《指南》根据最新的研究文献,对现有的安乐死方法、技术和药物进行补充及修改。本文总结了2020版《指南》的更新内容,并在此基础上归纳列举了适用于常见实验动物种类的首选安乐死方法、条件性接受安乐死方法和不可接受的安乐死方法,另外简述了实施动物安乐死的基本原则和注意事项。
论著:实验动物与精神医学
从脑胃ghrelin通路探讨应激对大鼠食欲的影响
赵怡玲, 高鹏飞, 肖茜, 张岚, 潘丹青, 徐月妹
2021, 41(3): 207-214. DOI:
10.12300/j.issn.1674-5817.2020.160
摘要
(
822
)
HTML
(
105
)
PDF
(925KB) (
772
)
图表数据
|
参考文献
|
相关文章
|
计量指标
目的
从脑胃饥饿素(ghrelin)通路研究应激影响食欲的分子机制。
方法
32只雄性Wistar大鼠随机分为对照组和应激组,每组16只,每笼2只。采用夹尾应激方法每日2次,连续21d刺激大鼠,监测各组大鼠的摄食量及体质量;在实验第7、21天每组各选取8只大鼠,ELISA法检测血清酰基化ghrelin质量浓度;蛋白质印迹法检测大鼠胃及下丘脑中ghrelin蛋白表达,以及下丘脑中腺苷酸活化蛋白激酶α2(Amp-activated protein kinase α2,AMPKα2)表达水平;实时荧光定量PCR检测胃中ghrelin、生长激素促分泌素受体(growth hormone secretagogue receptor,GHSR)、瘦素(leptin),以及下丘脑中ghrelin、AMPKα2、神经肽Y(neuropeptide Y,NPY)、刺鼠基因相关蛋白(agouti-related protein,AgRP)mRNA水平。
结果
实验第7天应激组每笼大鼠的总摄食量多于对照组(P<0.05),第21天两组大鼠的总摄食量未见明显差异(P>0.05);在第7、21天,两组大鼠的体质量均无明显差异(P>0.05)。应激可以明显上调血清中酰基化ghrelin水平(P<0.01),胃及下丘脑中ghrelin蛋白(P<0.05)以及下丘脑中AMPKα2蛋白(P<0.01)的表达也均明显上调。应激还能明显上调胃内ghrelin及GHSR mRNA水平(P<0.01),下调胃内leptin mRNA水平(P<0.01);同时上调下丘脑内ghrelin、AMPKα2、NPY及AgRP mRNA水平(P<0.01)。
结论
夹尾应激能导致大鼠中枢及外周ghrelin水平的上调,可能对大鼠食欲暂时性增加有影响。
论著:人类疾病动物模型
松果体损伤大鼠模型3种制备方法的比较研究
王丹妮, 宋美卿, 杨钤, 冯玛莉
2021, 41(3): 215-219. DOI:
10.12300/j.issn.1674-5817.2020.156
摘要
(
884
)
HTML
(
32
)
PDF
(2067KB) (
732
)
图表数据
|
参考文献
|
相关文章
|
计量指标
目的
比较对氯苯丙氨酸(para-chlorophenylalanine,PCPA)、电刺激应激及PCPA联合电刺激3种不同方法制备的松果体损伤模型,评价松果体结构与功能变化,为建立方法简便、成模时间短的松果体损伤模型提供依据。
方法
40只大鼠适应性饲养1周后,随机分为空白对照组、PCPA组、电刺激组及PCPA联合电刺激组。空白对照组不做任何处理;PCPA组大鼠腹腔注射PCPA 450 mg/kg,连续2 d;电刺激组大鼠使用穿梭箱电刺激(电压30 V,电流0.8 A,刺激时间30 s,间隔时间30 s,循环60次),连续5 d;PCPA联合电刺激组大鼠使用电刺激第4天加用PCPA,操作同前。测试各组大鼠旷场活动、高架十字迷宫等行为学以及戊巴比妥钠协同睡眠等指标,ELISA法检测血清褪黑素(melatonin,MT)水平,镜下观察松果体病理组织结构。
结果
3个实验组大鼠旷场活动总距离和平均速度均显著低于空白对照组(P<0.01),PCPA组、PCPA联合电刺激组旷场活动中央区时间显著长于空白对照组(P<0.05),PCPA联合电刺激组进入开放臂次数显著多于空白对照组(P<0.05),PCPA组、PCPA联合电刺激组进入开放臂时间显著长于空白对照组(P<0.05)。PCPA组入睡潜伏期显著长于空白对照组(P<0.05)。3个实验组血清MT水平均显著低于空白对照组(P<0.01)。病理组织学变化:PCPA组松果体细胞排列紊乱,核固缩,数目明显减少,空泡变性增多;电刺激组松果体排列紊乱,核固缩,细胞数目稍减少,空泡变性稍增多;PCPA联合电刺激组松果体细胞排列紊乱,核固缩,数目明显减少,空泡变性增多。
结论
3种不同造模方法均可造成大鼠松果体不同程度的损伤,可为制作松果体不同损伤模型提供参考。
人脑胶质瘤大鼠移植模型的初步建立
谭邓旭, 吴朋朋, 赵勇, 师长宏, 葛煦
2021, 41(3): 220-225. DOI:
10.12300/j.issn.1674-5817.2020.094
摘要
(
1205
)
HTML
(
32
)
PDF
(1521KB) (
1013
)
图表数据
|
参考文献
|
相关文章
|
计量指标
目的
利用免疫抑制剂初步建立人脑胶质瘤大鼠异种移植模型,为临床和基础研究提供理想的实验工具。
方法
选择临床常用免疫抑制剂雷帕霉素(rapamycin)和环孢霉素A(cyclosporin (A),于手术前3 d开始给SD大鼠灌胃,分为雷帕霉素单药(Rapa)组、环孢霉素A单药(CsA)组、联合用药(Rapa+CsA)组及对照组。用人脑胶质瘤U87-MG细胞分别进行SD大鼠脑部原位移植和右侧背部皮下移植,监测大鼠肿瘤体积和体质量的变化。当肿瘤生长至大约600 mm
3
时,通过近红外荧光活体成像法检测大鼠原位脑胶质瘤生长情况;然后处死大鼠,分离组织标本,采用HE染色和免疫组织化学法检测肿瘤组织学形态。
结果
与Rapa组和CsA组相比,联合用药(Rapa+CsA)在免疫抑制方面表现出明显优势,模型成功率达到100%(Rapa和CsA单药的成模率分别为0%和40%)。联合用药组大鼠体质量明显小于Rapa组、CsA组和对照组。活体成像发现近红外荧光染料在大鼠脑部富集,相应的组织病理分析确定为脑胶质瘤。用人线粒体Mitochondria抗体进行的免疫组织化学染色结果显示肿瘤部位为强阳性。
结论
联合用药(Rapa+CsA)进行免疫抑制后接种人脑胶质瘤U87-MG细胞,可成功建立人脑胶质瘤大鼠异种移植模型,病理分析确认了人脑胶质瘤的组织形态。
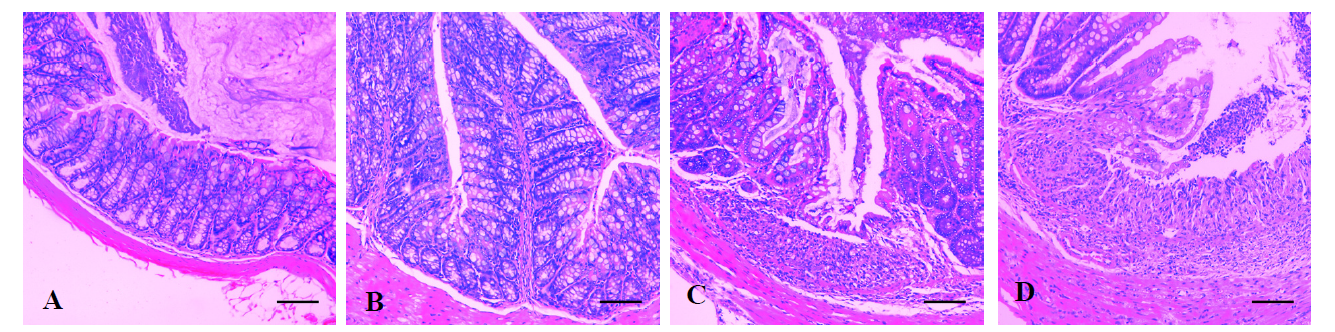
肝螺杆菌感染对葡聚糖硫酸钠诱导小鼠慢性结肠炎模型的影响
吴志浩, 沈宸, 殷俊, 朱立麒, 张泉
2021, 41(3): 226-231. DOI:
10.12300/j.issn.1674-5817.2020.136
摘要
(
973
)
HTML
(
30
)
PDF
(2143KB) (
810
)
图表数据
|
参考文献
|
相关文章
|
计量指标
目的
探讨肝螺杆菌(Helicobacter hepaticus,H.h)感染对葡聚糖硫酸钠(dextran sulfate sodium,DSS)诱导的小鼠慢性结肠炎的影响。
方法
40只雄性IL-10
-/-
小鼠随机分为4组,分别为对照组、H.h组、DSS组和H.h+DSS组,H.h组和H.h+DSS组经灌胃感染H.h。H.h感染5 d后,DSS组和H.h+DSS组小鼠连续饮用2% DSS水7 d,然后恢复正常饮水5 d,再连续饮用2% DSS水7 d;其余组正常饮水。实验结束后处死各组小鼠,取结肠并测量其长度,然后分为3份,分别用于组织病理学检查、细胞因子mRNA转录水平检测和蛋白表达水平检测。
结果
病理学检查结果显示,与DSS组相比,H.h+DSS组小鼠的淋巴细胞浸润增多,上皮缺失严重,纤维化程度加重,隐窝萎缩明显,同时炎性细胞因子白细胞介素6和肿瘤坏死因子α转录水平上调,信号转导和转录激活因子3蛋白表达水平升高。
结论
H.h感染会加剧DSS诱导的小鼠结肠炎。
慢性间歇性低氧模型大鼠的甲状腺功能分析
田慧, 高隆, 王泽辉
2021, 41(3): 232-237. DOI:
10.12300/j.issn.1674-5817.2020.153
摘要
(
970
)
HTML
(
20
)
PDF
(1486KB) (
885
)
图表数据
|
参考文献
|
相关文章
|
计量指标
目的
通过慢性间歇性低氧(chronic intermittent hypoxia,CIH)大鼠模型探索阻塞性睡眠呼吸暂停低通气综合征与甲状腺功能的关系。
方法
SD大鼠分为对照(control)组、CIH组和复氧(reoxygenation,RH)组,利用低氧舱建立CIH动物模型,并对CIH模型进行鉴定;放射免疫检测各组大鼠血清中促甲状腺激素释放激素(thyrotropin releasing hormone,TRH)、促甲状腺激素(thyroid stimulating hormone,TSH)、三碘甲状腺原氨酸(triiodothyronine,T3)和甲状腺素(thyroxine,T4)的表达水平;HE染色和甲苯胺蓝染色观察各组大鼠甲状腺组织的病理变化;电子显微镜观察各组大鼠甲状腺组织超微结构的变化。
结果
CIH组和RH组大鼠的血氧饱和度为70%~92%,动脉氧分压为60.7~80.1 mmHg,接近阻塞性睡眠呼吸暂停低通气综合征的病理生理特点,因此CIH动物模型建立成功。与control组比较,CIH组大鼠血清中TRH、TSH、T3和T4的表达水平明显降低(均P<0.05),甲状腺质量明显增加(P<0.01);与CIH组比较,RH组大鼠血清中TRH、TSH、T3和T4的表达水平明显增加(均P<0.05),甲状腺质量减少(P<0.05)。HE染色和甲苯胺蓝染色显示,control组大鼠甲状腺组织有完整的甲状腺滤泡;CIH组大鼠甲状腺的正常滤泡结构丧失,一些滤泡细胞显示空泡,基核较暗;RH组大鼠甲状腺组织显示正常的滤泡结构,但是某些滤泡细胞仍呈空泡状,带有深色核。电子显微镜观察发现,control组大鼠的甲状腺具有正常的滤泡细胞;CIH组大鼠甲状腺滤泡细胞的细胞核收缩,异染色质增加,基质损失;RH组大鼠的甲状腺部分有完整的滤泡细胞结构。
结论
CIH可导致大鼠甲状腺功能调节紊乱,恢复吸氧可使甲状腺功能部分恢复正常。
高原多脏器功能障碍综合征蕨麻猪模型C反应蛋白及炎性因子的变化
肖攀, 牛廷献, 罗晓红, 王红义, 郭晓宇, 陆璐, 冯小明
2021, 41(3): 238-243. DOI:
10.12300/j.issn.1674-5817.2020.119
摘要
(
928
)
HTML
(
26
)
PDF
(536KB) (
819
)
图表数据
|
参考文献
|
相关文章
|
计量指标
目的
研究高原多脏器功能障碍综合征(high altitude multiple organ dysfunction syndrome,H-MODS)蕨麻猪模型肿瘤坏死因子-α(tumor necrosis factor-α,TNF-α)、白细胞介素-1β(interleukin-1β,IL-1β)及C反应蛋白(C-reactive protein,CRP)在炎性反应过程中的变化特点。
方法
选用3个剂量(0.25、0.35和0.50 mg/kg)的内毒素脂多糖(lipopolysaccharide,LPS)诱导高原土生蕨麻猪成功建立H-MODS模型(B、C、D组),同时设生理盐水对照组(A组)。检测不同时间点的血清TNF-α、IL-1β及CRP表达水平。
结果
各组蕨麻猪泵入LPS后TNF-α、IL-1β表达量均急剧升高,并在6h升至最高,在3~12h时与同组0h及同时间点A组相比均明显升高(P<0.05或P<0.01),12 h后逐渐下降;B、D组TNF-α表达量在24 h后与同组0 h及同时间点A组相比均明显升高(P<0.05),在72 h后B组明显高于A组(P<0.05)。24 h的IL-1β表达量D组高于0 h和A组(P<0.05),之后其表达量逐渐下降,在48 h、72 h时与0 h和A组相比均明显降低(P<0.05或P<0.01)。静脉泵入LPS后,B、C、D组CRP表达量开始升高,并在24~48 h时表达量达到最大;其各组CRP表达量在6~72 h时与0 h和A组相比均明显升高(P<0.05或P<0.01)。
结论
H-MODS形成时机体产生严重的炎性反应,炎性因子TNF-α、IL-1β表达量迅速升高,但在免疫调节作用下其表达量迅速下调,并在短时间内出现急剧波动而达到平衡状态;而CRP表达量变化相对缓慢,伴随于体内炎性反应的整个过程。
论著:实验动物与中医药
苦参素对实验性自身免疫性甲状腺炎大鼠Th1/Th2细胞平衡及相关通路的影响
姚婷, 高原, 曾芳馨
2021, 41(3): 244-251. DOI:
10.12300/j.issn.1674-5817.2020.086
摘要
(
842
)
HTML
(
22
)
PDF
(4304KB) (
754
)
图表数据
|
参考文献
|
相关文章
|
计量指标
目的
探讨苦参素对实验性自身免疫性甲状腺炎(EAT)大鼠炎性反应、辅助性T淋巴细胞(Th)1/Th2、单核细胞趋化蛋白-1(MCP-1)及细胞表面趋化因子受体2(CCR2)信号的影响。
方法
将75只Lewis大鼠按随机数字表法分为对照组、模型组和苦参素低、中、高剂量组。用免疫猪甲状腺球蛋白(pTG)诱导建立EAT大鼠模型,苦参素低、中、高剂量组分别灌胃0.2、0.4和0.6 g/kg的苦参素,给药体积2 mL,对照组和模型组均给予等体积生理盐水,隔日1次,共4周。HE染色观察大鼠甲状腺组织形态学变化;ELISA法检测血清中促甲状腺激素(TSH)、抗甲状腺球蛋白抗体(TGAb)和甲状腺过氧化物酶抗体(TPOAb),以及细胞因子干扰素-γ(IFN-γ)、白细胞介素(IL)-12、IL-4和IL-10水平;蛋白质印迹法检测甲状腺组织中MCP-1/CCR2信号轴。
结果
与对照组相比,模型组TSH、TGAb、TPOAb、IFN-γ、IL-12、IFN-γ/IL-4、IL-12/IL-10、NF-κBp65及MCP-1、CCR2蛋白水平均明显升高,IL-4、IL-10水平明显降低(均P<0.05);苦参素低、中、高剂量组大鼠TSH、TGAb、TPOAb、IFN-γ、IL-12、IFN-γ/IL-4、IL-12/IL-10、NF-κBp65及MCP-1、CCR2蛋白水平均明显降低,IL-4、IL-10水平明显升高(均P<0.05),且呈剂量依赖性。
结论
苦参素能抑制甲状腺抗体生成,下调Th1型细胞因子,上调Th2型细胞因子,进而降低Th1和Th2比值,并抑制MCP-1/CCR2信号轴,发挥对自身免疫性甲状腺炎大鼠的保护作用。
实验动物设施与技术
两种不同类型实验动物屏障设施的气流组织计算流体力学模拟技术分析
周斌, 赵勇, 汪亚兵, 刘吉宏
2021, 41(3): 252-258. DOI:
10.12300/j.issn.1674-5817.2021.077
摘要
(
972
)
HTML
(
286
)
PDF
(1353KB) (
1108
)
图表数据
|
参考文献
|
相关文章
|
计量指标
选取动物实验和生产两种不同类型屏障设施作为研究对象,以余热排除效率、氨气排污效率、二氧化碳排污效率以及平均空气龄作为其气流组织的评价指标。采用计算流体力学(computational fluid dynamics,CFD)数值模拟技术,对比分析了在不同换气次数、不同排风口位置情况下,两种类型实验动物设施的气流组织优劣势。结果表明,以上述指标评价时,顶部送风、下侧排风辅助的送排风形式较为适合。此外,对于饲养密度高的实验动物生产设施,建议根据饲养室的热负荷程度调整最低换气次数。
实验动物管理
人工繁育恒河猴的肺炎链球菌携带状况调查及分析
刘雨, 李艳艳, 张伟, 杨凤梅, 刘权, 李咏洁, 靳玮华, 段素琴, 王俊斌, 陈丽雄, 徐鸿界, 赵远, 和占龙
2021, 41(3): 259-265. DOI:
10.12300/j.issn.1674-5817.2021.034
摘要
(
1020
)
HTML
(
33
)
PDF
(1564KB) (
925
)
图表数据
|
参考文献
|
相关文章
|
计量指标
目的
探究人工繁育的恒河猴群体中肺炎链球菌的自然感染状况,为肺炎链球菌感染的临床诊断和治疗提供参考。
方法
从恒河猴猴群中随机采集20只婴猴、30只成年猴和30只老年猴的鼻拭子和咽拭子样本,采用细菌培养和实时荧光定量PCR方法同时筛查样本中肺炎链球菌的携带情况,并对筛查结果为阳性的婴猴的亲代母猴进行肺炎链球菌筛查。再结合革兰染色法、奥普托欣药敏试验、胆汁溶解试验、菊糖发酵试验和PCR扩增测序对样本进行进一步鉴定。
结果
恒河猴婴猴携带肺炎链球菌的检出率为20%(4/20),而这4只阳性婴猴的亲代母猴检测结果均为阴性。成年恒河猴和老年恒河猴中肺炎链球菌的检出率均为0%。细菌培养物在形态学上观测显示,该菌为灰白色凸起状,周围草绿色溶血环,呈脐窝状,为典型肺炎链球菌的菌落特征。革兰染色结果显示为阳性,胆汁溶解试验和菊糖发酵试验结果均呈阳性,并且该菌对奥普托欣敏感;以上结果表明本次从婴猴鼻咽拭子分离到的4株菌落均为肺炎链球菌。
结论
本调查发现在恒河猴中肺炎链球菌自然感染群体主要为婴猴,婴猴携带率约为20%,其鼻、咽部均为该菌寄住场所,且未发现母婴垂直传播情况。
教育教学实践
基于互联网交互平台三明治教学法在医学实验动物学教学中的应用
魏盛, 耿希文, 徐凯勇, 胡明会, 周苗苗, 李自发
2021, 41(3): 266-270. DOI:
10.12300/j.issn.1674-5817.2020.114
摘要
(
723
)
HTML
(
32
)
PDF
(532KB) (
627
)
图表数据
|
参考文献
|
相关文章
|
计量指标
医学实验动物学为生物医学研究的支撑学科,实践性、应用性较强。为顺应医学院校人才培养战略、培育实用型及创新型人才,如何改革教学模式、提高学生动手能力是目前医学实验动物学课程亟需解决的问题。本文旨在探讨“互联网交互平台+三明治教学法”在医学实验动物学中应用的教学优势及相关理念,以期提升医学实验动物学课程教学质量。