Please wait a minute...
Toggle navigation
首页
期刊介绍
基本信息
历史沿革
创刊40周年
编委会
现任编委
历任编委
青年编委
顾问编委
期刊政策
投稿指南
伦理道德
编辑与评审
更正与撤稿
开放获取
版权与存储
投稿必看
稿件要求细则
伦理道德细则
附件模板下载
在线期刊
当期文献
过刊浏览
重点文章
多媒体
视频
讲座
科普
合作服务
科研通讯
刊务理事单位
广告合作
期刊订阅
纸质订阅
电子订阅
联系我们
English
在线办公
作者投稿
专家审稿
主编审稿
编辑办公
主管:上海科学院
主办:上海市实验动物学会
上海实验动物研究中心
主编:王 健
邮发代号:4-789
国际刊号:ISSN 1674-5817
国内刊号:CN 31-1954/Q
检索
文章检索
年期检索
高级检索
友情链接
中国实验动物信息网
上海市实验动物学会
上海实验动物研究中心
上海科学院
中国知网
万方医学网
PubMed
DOAJ
Laboratory Animals
Comparative Medicine
动物模型与实验医学(英文)
中国实验动物学报
中国比较医学杂志
中国图书馆分类法
术语在线
更多>>
刊务理事单位
更多>>
当期目录
2015年 第35卷 第1期 刊出日期:2015-02-25
上一期
下一期
华东地区第十三届实验动物科学学术交流会优秀论文选刊
利用高压水动力法建立乙型肝炎病毒转染小鼠模型及初步评价
彭秀华, 陈丽香, 任晓楠, 施碧胜, 徐春华, 周文江, 周晓辉
2015, 35(1): 1-5. DOI:
10.3969/j.issn.1674-5817.2015.01.001
摘要
(
988
)
PDF
(1019KB) (
582
)
参考文献
|
相关文章
|
计量指标
目的
利用高压水动力法建立C57BL/6小鼠乙型肝炎病毒(HBV)转染模型,并对其进行初步的观察及药物评价。
方法
将10 μg腺病毒相关病毒载体(pAAV)-HBV1.2质粒采用高压水动力法尾静脉注入 C57BL/6小鼠体内, 连续5周观察小鼠血清中的HBsAg、HBV DNA等表达情况,并利用该模型初步评价拉米夫定的抗病毒效果。
结果
pAAV-HBV1.2质粒高压水动力法注射C57BL/6小鼠后,在小鼠体内分泌HBV的抗原及病毒颗粒。尾静脉注射2周内小鼠血清中HBsAg阳性率为100%,连续观察至第5周,22.2%小鼠血清中HBsAg有持续表达。小鼠血清中HBV DNA水平在1~4周时含量明显高于≥10
3
拷贝/mL(临床患者阳性标准)。肝组织病理学观察(HE染色)可见不同程度肝细胞炎性改变,肝组织免疫组化可见到HBsAg和HBcAg表达。另外,使用抗病毒药物拉米夫定干预该小鼠模型, 其血清中HBV DNA水平明显下降。
结论
初步建立的C57BL/6小鼠HBV转染模型, 是一个适用于药物筛选及疫苗研究的有效模型, 为抗病毒治疗研究奠定了一定基础。
小鼠肝炎病毒双抗体夹心ELISA检测方法的建立
周洁, 高诚, 胡建华
2015, 35(1): 6-9. DOI:
10.3969/j.issn.1674-5817.2015.01.002
摘要
(
667
)
PDF
(621KB) (
437
)
参考文献
|
相关文章
|
计量指标
目的
建立小鼠肝炎病毒(MHV)双抗体夹心ELISA检测方法。
方法
将4株特异性抗MHV N蛋白的单克隆抗体进行抗体配对试验确定3D4H9为捕获抗体,以辣根过氧化物酶(HRP)标记的4G9F2为检测抗体;通过方阵试验确定了3D4H9和4G9F2-HRP的最佳工作浓度分别为12.8 ng/mL和70.84 ng/mL,以P/N>2,同时D
450nm
≥0.248作为阳性临界值的判定。
结果
该ELISA方法重复性变异系数小于10%,与小鼠细小病毒、仙台病毒、小鼠肺炎病毒、呼肠孤病毒3型等无交叉反应,对358份血清样品进行检测,与美国EBI公司的间接ELISA试剂盒检测结果无明显差异。
结论
本研究建立的双抗体夹心ELISA方法检测MHV具有较高的特异性和敏感性,可以用于MHV的病原学检测。
ZDF与SD大鼠动脉粥样硬化形成及其磷脂酶A2表达的比较研究
斯徐伟, 奚赛飞, 徐孝平, 诸葛福媛, 陈小真, 蔡月琴, 陈民利
2015, 35(1): 10-16. DOI:
10.3969/j.issn.1674-5817.2015.01.003
摘要
(
664
)
PDF
(2008KB) (
732
)
参考文献
|
相关文章
|
计量指标
目的
观察ZDF和SD大鼠动脉粥样硬化(atherosclerosis, AS)形成和AS组织中磷脂酶A2(cPLA2、sPLA2、LP-PLA2)的表达情况。
方法
取ZDF(fa/fa)大鼠和SD大鼠各6只,用高脂饲喂加小剂量多次腹腔注射7 ×10
5
U/kg维生素D3注射液,建立ZDF大鼠AS模型组和SD大鼠AS模型;另取ZDF(fa/+)大鼠和SD大鼠各6只,分别作为ZDF大鼠对照组和SD大鼠对照组,饲喂普通饲料。检测造模前后GLU、TC、TG、HDL-C、LDL-C的含量和造模后血清Ca
2+
含量,并取AS大鼠腹主动脉进行HE染色和cPLA2、sPLA2、LP-PLA2的mRNA表达检测。
结果
ZDF大鼠AS模型组和SD大鼠AS模型组的空腹血糖、血脂水平和血清Ca
2+
含量均显著升高(P<0.01),腹主动脉出现典型的AS并伴明显的钙化,ZDF大鼠模型组血糖、血脂明显高于SD大鼠模型组,其AS病变也相对严重;ZDF大鼠AS模型组cPLA2和sPLA2的表达显著升高(P<0.01),LP-PLA2的表达显著降低(P<0.01); 而SD大鼠AS模型组cPLA2、sPLA2、LP-PLA2的表达均显著升高(P<0.01)。
结论
ZDF大鼠和SD大鼠进行高脂饲喂加小剂量多次注射维生素D3均能建立AS模型,ZDF(fa/fa)大鼠的AS病变相对严重,与其高血糖和高血脂状态有关;ZDF大鼠和SD大鼠中的PLA2的表达存在差异,这可能与SD大鼠AS形成的分子病理机制有关。
阿胶对环磷酰胺所致血虚证模型小鼠毛发生长及发质影响的研究
李浩, 籍国霞, 王可洲, 嵇传良, 李兰波, 张燕, 冯墨竹, 李建梅, 刘涛
2015, 35(1): 17-22. DOI:
10.3969/j.issn.1674-5817.2015.01.004
摘要
(
528
)
PDF
(2263KB) (
624
)
参考文献
|
相关文章
|
计量指标
目的
探究阿胶对环磷酰胺(CTX)所致血虚证C57BL/6小鼠毛发生长及质量改善的作用。
方法
将CTX所致血虚证模型C57BL/6小鼠分为阿胶给药组(高、中、低剂量组)和模型对照组,另设空白对照组,分别灌胃相应剂量的阿胶溶液和生理盐水,连续20 d; 首次给药后0 d,12 d和20 d,测定小鼠新生毛发的长度、氨基酸含量、毛囊数量及血液学参数,并用电子显微镜观察毛发的微观形态。
结果
阿胶给药组及空白对照组白细胞总数、淋巴细胞含量和单核细胞含量均高于模型对照组; 中、高剂量组小鼠毛发中氨基酸含量高于模型对照组; 首次给药后20 d,小鼠新生毛发长度及浓密程度: 空白对照组>阿胶给药组(高、中、低剂量组)>模型对照组; 电镜观察,各组小鼠新生毛发直径存在明显差异:空白对照组>高剂量组>中、低剂量组>模型对照组; 小鼠新生毛囊数量: 空白对照组>阿胶给药组>模型对照组。
结论
阿胶可以升高CTX所致血虚证模型C57BL/6小鼠体内白细胞数量,促进C57BL/6贫血小鼠皮肤新生毛囊的形成,促进毛发生长,增加毛发中氨基酸含量,起到改善新生毛发质量的作用。
乌骨藤提取物抑制人胃癌卵巢癌裸鼠荷瘤效果的实验观察
禇芳, 李玉云, 费健, 黎砚书
2015, 35(1): 23-26. DOI:
10.3969/j.issn.1674-5817.2015.01.005
摘要
(
691
)
PDF
(837KB) (
468
)
参考文献
|
相关文章
|
计量指标
目的
观察乌骨藤提取物对人胃癌、卵巢癌裸鼠模型肿瘤的抑制作用。
方法
采用人胃癌细胞MKN45接种裸鼠待长出实体瘤,用实体瘤移植裸鼠皮下建立人胃癌裸鼠模型;人卵巢癌移植裸鼠建立实体瘤模型,再通过裸鼠皮下移植实体瘤,建立人卵巢癌裸鼠模型;之后用乌骨藤提取物分别给实验组灌胃0.5 mL/只,对照组给饮用水,每日1次,连续30 d。每周连续测量体质量和肿瘤大小2次,30 d给药后处死小鼠,解剖称肿瘤重量,计算抑瘤率,评价乌骨藤提取物对裸鼠荷瘤的抑制作用。
结果
乌骨藤提取物对胃癌裸鼠荷瘤和卵巢癌裸鼠荷瘤均有抑制作用,其中乌骨藤组对人胃癌裸鼠荷瘤有明显的抑制作用。
结论
乌骨藤提取物对人胃癌、卵巢癌裸鼠荷瘤生长有一定抑制作用。
苯肼诱发建立斑马鱼血栓模型的方法
张勇, 朱晓宇, 郭胜亚, 李春启
2015, 35(1): 27-31. DOI:
10.3969/j.issn.1674-5817.2015.01.006
摘要
(
907
)
PDF
(1346KB) (
648
)
参考文献
|
相关文章
|
计量指标
目的
建立操作便捷、快速、稳定的活体斑马鱼血栓模型。
方法
研究不同浓度苯肼诱导下斑马鱼血栓形成情况。以2dpf (days post fertilization, dpf, 受精后天数)健康AB系野生型斑马鱼作为实验动物, 将其暴露于不同浓度(0.5 μmoL/L、1 μmoL/L、2 μmoL/L、4 μmoL/L、8 μmoL/L) 的苯肼中, 同时设置空白对照组(胚胎养殖用水)和溶剂对照组(0.1%乙醇), 处理一段时间后, 通过观察斑马鱼尾静脉血流及血栓形成情况进行定性分析, 利用邻联茴香胺染色法对心脏红细胞染色强度进行定量分析。
结果
苯肼处理组(模型组)有血栓形成,与溶剂对照组相比有显著性差异(P<0.001)。血栓形成率先增高后逐渐减缓, 0.5 μmoL/L、1 μmoL/L血栓形成较少, 血栓形成率分别为(19.79±1.55)%、(43.28±1.82)%、2 μmoL/L、4 μmoL/L、8 μmoL/L均诱发较为严重的血栓, 血栓形成率分别为(69.85±1.12)%、(70.56±4.60)%和(72.25±2.11)%,三组间没有差异。
结论
苯肼浓度2 μmoL/L为诱发稳定的活体斑马鱼血栓模型的最佳浓度。
2012~2013年山东省部分实验动物配合饲料的检测分析
郭中坤, 王可洲, 李志彦
2015, 35(1): 32-36. DOI:
10.3969/j.issn.1674-5817.2015.01.007
摘要
(
302
)
PDF
(371KB) (
410
)
参考文献
|
相关文章
|
计量指标
目的
检测2012~2013年山东省市场供应的实验动物配合饲料的质量状况。
方法
本研究从山东省市场供应的实验动物配合饲料中, 随机抽取大/小鼠、豚鼠和兔用配合饲料样品共16份, 按照国家标准对饲料中的常规营养成分、氨基酸、维生素、微量矿物元素及微生物指标进行检测。
结果
依据国家标准GB 14924.2-2001和GB 14924.3-2010,本研究抽检的样品中大/小鼠、豚鼠和兔饲料常规营养成分的合格率分别为71.4%,0%和0%; 氨基酸指标的合格率分别为57.1%,25.0%和40.0%; 维生素和常量矿物质与微量矿物质合格率均为0%; 微生物指标的合格率分别为71.4%,75.0%和80.0%; 两项国家标准中综合强制性指标的合格率分别为42.9%,0%和0%。
结论
山东省市场供应的大/小鼠、豚鼠和兔等实验动物饲料的质量急需提高。
实验动物管理系统的开发和应用
陈纪猛, 王训立, 郑和平, 何宏星, 吴胜
2015, 35(1): 37-41. DOI:
10.3969/j.issn.1674-5817.2015.01.008
摘要
(
428
)
PDF
(1653KB) (
499
)
参考文献
|
相关文章
|
计量指标
本实验动物管理系统包含:信息发布管理、实验预约管理、订购管理模块、仓库管理模块、动物饲养管理、动物实验管理等模块。并就管理系统的特点及实际应用进行了探讨。
论著
小鼠精原细胞的分离纯化
李玉华, 段斐, 周小羽, 李扬, 李润生
2015, 35(1): 42-45. DOI:
10.3969/j.issn.1674-5817.2015.01.009
摘要
(
688
)
PDF
(1059KB) (
487
)
参考文献
|
相关文章
|
计量指标
目的
建立一种高效、简便的分离纯化小鼠精原细胞的方法。
方法
利用胶原酶IV/ 脱氧核糖核酸酶I(DNaseI)/分散酶(dispase)组合酶消化法和差异性贴壁原理,从新生小鼠睾丸中分离、纯化精原细胞。经细胞形态学观察、视黄酸激活基因8(Stra8)免疫化学鉴定精原细胞并进行纯度分析。
结果
分离到的细胞经Stra8检测呈阳性, 精原细胞纯度可达86%。
结论
该方法可高效地分离和纯化小鼠精原细胞。
不同结扎血管夹在兔腹腔胆囊切除术中的应用
陈献花, 潘永明, 包一红, 胡飞, 庞秀炳, 陈亮, 朱科燕, 徐剑钦, 陈民利
2015, 35(1): 46-51. DOI:
10.3969/j.issn.1674-5817.2015.01.010
摘要
(
844
)
PDF
(1831KB) (
537
)
参考文献
|
相关文章
|
计量指标
目的
观察不同结扎血管夹在腹腔胆囊切除术后的结扎效果、炎症反应以及在体内性能稳定情况,为临床应用研究提供参考。
方法
将36只日本大耳白兔分成3组,即正常对照组、试验组和同类产品对照(Hem-o-lok)组,每组12只,其中试验组和同类产品对照组分别用佳助结扎血管夹和Hem-o-lok结扎夹在开腹胆囊摘除术中夹闭胆囊管及胆囊动脉。分别在术后6、12个月时处死动物,观察结扎效果及结扎部位大体病变,并取血测定谷氨酰转移酶(GGT)、肿瘤坏死因子-α(TNF-α)和肌酸激酶(CK)水平,同时取体内的结扎血管夹进行重量和特性粘度分析。
结果
术后试验组和同类产品对照组结扎夹均在体内结扎牢固,肝脏组织病理形态均无异常,未见出血或胆漏发生。与正常对照组比,试验组和同类产品对照组血清GGT水平在术后3 d、14 d以及CK水平在术后3 d均明显升高(P<0.05,P<0.01); 此外,试验组TNF-α水平在术后3 d和2个月时显著降低,同类产品对照组TNF-α水平亦在术后6个月时显著降低(P<0.05); 但实验组血清GGT、TNF-α和CK水平与同类产品对照组比差异不显著(P>0.05); 与原样比较,体内植入6个月、12个月后试验组结扎血管夹和同类产品对照组Hem-o-lok结扎夹的重量和粘度均无明显变化(P>0.05)。
结论
佳助结扎血管夹用于夹闭胆囊管和血管结扎是有效的,在体内性能稳定,其作用效果和安全性与Hem-o-lok结扎夹类似。
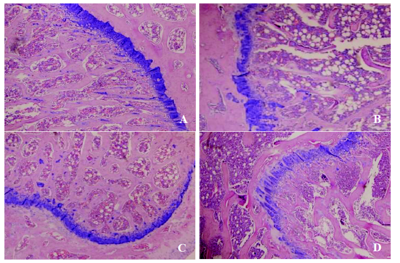
三种大鼠骨质疏松模型的比较研究
冯佳, 向阳, 夏燕, 陈安平, 杨年安, 龚书识, 袁林
2015, 35(1): 52-55. DOI:
10.3969/j.issn.1674-5817.2015.01.011
摘要
(
663
)
PDF
(933KB) (
620
)
参考文献
|
相关文章
|
计量指标
目的
观察和比较不同造模方法对大鼠骨质疏松模型特点的影响。
方法
选用6月龄的雌性SD大鼠40只,分为正常组、去势组、糖皮质激素组和维甲酸组。造模6周后,比较各组大鼠血清钙(Ca)、磷(P)、碱性磷酸酶(ALP)、骨密度和骨组织形态计量学参数的变化。
结果
与正常组相比,去势组及维甲酸组大鼠血清Ca降低,P、ALP增高,股骨骨密度、骨小梁厚度、数量均明显减少,骨小梁间距增大;糖皮质激素组与正常组相比,各参数无显著差异。
结论
去势骨质疏松模型造模成功。短期间断使用糖皮质激素对大鼠松质骨的影响不明显;大剂量维甲酸能使大鼠出现骨量减少,骨微结构发生改变,但其毒副作用较大。
乙二胺四乙酸驱镉对慢性镉中毒大鼠、小鼠的肾毒性
李光先, 钟志勇, 陈嘉兴, 余日安, 唐小江
2015, 35(1): 56-60. DOI:
10.3969/j.issn.1674-5817.2015.01.012
摘要
(
585
)
PDF
(2080KB) (
492
)
参考文献
|
相关文章
|
计量指标
目的
探讨乙二胺四乙酸(EDTA)治疗慢性镉中毒动物模型毒副作用。
方法
将雄性SD大鼠、雄性NIH小鼠分别随机分为空白对照组和模型组。模型组腹腔注射CdCl
2
+ β-巯基乙醇(ME)的混合液,每日一次,连续5 d,末次染毒50 d及30 d后分别随机分为模型对照组和EDTA治疗组。空白对照组和模型对照组腹腔注射生理盐水; EDTA治疗组按体质量腹腔注射EDTA溶液,实验结束后均采集动物的尿液、血液肾脏及睾丸组织,检测体内Cd和组织病理检查。
结果
实验结束时,EDTA组大鼠、小鼠的肾脏Cd、尿Cd和血Cd含量明显高于模型对照组(P<0.05),并见肾小管蛋白质沉淀。
结论
EDTA会引起体内的镉向肾脏富集,不宜用于慢性镉中毒驱镉。
不同pH值饮用水对SD大鼠生长发育及血清生化的影响
陈文文, 余强, 王志远, 刘月环, 吴旧生
2015, 35(1): 61-64. DOI:
10.3969/j.issn.1674-5817.2015.01.013
摘要
(
367
)
PDF
(272KB) (
400
)
参考文献
|
相关文章
|
计量指标
目的
观测不同pH值饮用水对大鼠生长发育的影响。
方法
选取3周龄SPF级SD大鼠,随机分为4组,分别给予不同pH值的饮用水,并于饲养后第4、6、8、10和12周,分别从每组取10只大鼠,雌雄各半,测定体质量,安死术后取心、肝、脾、肺、肾和肾上腺6个脏器称重,计算脏器系数,同时采集血样检测血糖、血脂、肝功能、肾功能等生化指标。
结果
不同pH值饮用水组SD大鼠体质量,与同周龄pH7.0饮用水组相比无显著性差异。不同pH值饮用水组SD大鼠脏器系数及生化指标亦在正常值范围内波动。
结论
不同pH值饮用水对3~15周龄大鼠体质量、脏器系数和生化指标基本上无显著影响。
一株鸭源新城疫病毒分子特性及对SPF鸡、鸭致病性的比较研究
吴伟, 刘怀然, 刘胜旺, 陈洪岩
2015, 35(1): 65-70. DOI:
10.3969/j.issn.1674-5817.2015.01.014
摘要
(
430
)
PDF
(1041KB) (
533
)
参考文献
|
相关文章
|
计量指标
目的
研究一株鸭源新城疫病毒分子的特性,并比较其对SPF鸡和SPF鸭致病性的不同。
方法
将分离到的病毒克隆、测序并用SPF鸡和SPF鸭分别评价该毒株的致病性。
结果
Du/CH/LGD/358/2011的基因组由15 198个核苷酸序列组成,编码6种结构蛋白。F基因裂解位点的氨基酸序列为112 ERQER/L117。通过全基因组核苷酸序列和F基因高变区核苷酸序列构建遗传进化树,证明该毒株属于class I基因3b型,与香港活禽市场分离到的毒株类似,但略有不同。该毒株对SPF鸡和SPF鸭的致病性基本一致。
结论
该毒株为弱毒株,使用SPF鸡和SPF鸭均可以对鸭源弱毒株进行致病性评价,为SPF鸭的检测提供理论依据。
寄养家庭对导盲犬培训成功率的影响
周子娟, 张雅丽, 梁佳, 俞剑熊, 韩芳, 王亮, 王爱国, 王福金, 王靖宇
2015, 35(1): 71-75. DOI:
10.3969/j.issn.1674-5817.2015.01.015
摘要
(
371
)
PDF
(420KB) (
494
)
参考文献
|
相关文章
|
计量指标
目的
探究寄养家庭自身因素对导盲犬培训成功率的影响。
方法
通过整理分析大连导盲犬培训基地对69家寄养家庭的调查材料, 根据寄养家庭的实际情况填写评估表,依据评分标准评分, 按照寄养家庭的素质、管教技能、社会环境、与犬的互动时间这四个因素对寄养家庭进行分组讨论。
结果
在寄养家庭的素质、管教技能、社会环境、及与犬的互动时间四个因素的分析中发现, 分值在3~5分组寄养家庭犬的培训成功率显著高于分值在1~2分组, 分别为26/52 (50.0%) vs 3/17 (17.6%), P=0.019; 26/50 (52.0%) vs 3/19 (15.8%),P=0.006; 27/53 (50.9%) vs 2/16 (12.5%), P=0.006; 28/58 (48.3%) vs 1/11 (9.1%),P=0.016。上述四种因素的相关性分析表明,四个因素中除寄养家庭的素质与社会环境无显著相关外(P>0.086,r=0.208),各因素之间在统计学中呈现正相关(P<0.05),但相关系数较低(r<0.5)。
结论
寄养家庭的素质、管教技能、社会环境、与犬的互动时间对导盲犬的成功率有显著的影响作用。
综述
液相芯片技术及其在蛋白质和核酸检测中的应用
刘春梅, 魏晓锋, 高诚
2015, 35(1): 76-81. DOI:
10.3969/j.issn.1674-5817.2015.01.016
摘要
(
578
)
PDF
(435KB) (
659
)
参考文献
|
相关文章
|
计量指标
Luminex液相芯片技术是1990年代兴起的,集合流式细胞技术、激光技术、微球数字信号处理技术为一体的新型检测技术。与传统的临床检测方法相比,其主要优点在于高通量、高敏感、重复性高、检测范围广、反应速度快,仅需微量样品即可进行检测等。Luminex具有两大核心技术:xMAP
®
技术和xTAG
®
技术。xMAP
®
技术利用抗原-抗体反应的原理,可用于蛋白质和核酸的检测;xTAG
®
技术能够测定若干基因组形式,如基因表达分析、微RNA分析、单核苷酸多态性(single nucleotide polymorphism, SNP)分析、特定序列的检测等。
青藏高原小型兽类实验动物化潜力与应用前景
范微, 徐小青, 刘巴睿, 王忠东, 王海洁, 张勤文, 刘海青, 游培松
2015, 35(1): 82-86. DOI:
10.3969/j.issn.1674-5817.2015.01.017
摘要
(
357
)
PDF
(530KB) (
408
)
参考文献
|
相关文章
|
计量指标
随着科学技术的不断发展,对于一些诸如生命现象中新机制、新疾病的探究,因受制于实验动物种类少等的局限,逐渐成为阻碍生命科学发展的瓶颈。因此,不断开发新的实验动物成为实验动物研究者的重要课题。野生动物资源的实验动物化是实现这一目的重要途径和有效手段。本文通过对部分研究者对青藏高原野生动物的生物学特性和实验动物化研究成果描述,论述了在青藏高原小型兽类实验动物化研究进展。同时,对喜马拉雅旱獭、高原鼠兔、根田鼠、子午沙鼠、高原鼢鼠实验动物化潜力及应用前景作简要概述和展望,并提出开发和共享建议。