Loading...
Toggle navigation
Home
About
Editorial Board
Current Editorial Board
Young Editorial Board
Advisory Editorial Board
Instruction
Authors Instruction
Ethics
Peer Review & Editing
Correction & Retraction
Open Access
Copyright & Archive
Guideline
Manuscript Guideline
Ethic Guideline
Template Download
Journal
Current Issue
Archive
Highlights
Cooperation
Council Members
Advertisement
Subscription
Print Subscription
Email Alert
Contact Us
中文
Office Online
Author Login
Peer Review
Editor-in-Chief
Office Work
Directed by: Shanghai Academy of Science and Technology
Sponsored by: Shanghai Laboratory Animal Science Association
Shanghai Laboratory Animal Research Center
Editor-in-Chief: WANG Jian
Postal code:4-789
ISSN 1674-5817
CN 31-1954/Q
Search
Paper Search
Issue Search
Advanced Search
Links
China Laboratory Animal Information Network
Shanghai Laboratory Animal Science Association
Shanghai Laboratory Animal Research Center
Shanghai Academy of Science & Technology
CNKI
Wanfang Med Online
PubMed
DOAJ
Laboratory Animals
Comparative Medicine
Animal Models and Experimental Medicine
Acta Laboratorium Animalis Scientia Sinica
Chinese Journal of Comparative Medicine
Chinese Library Classification Code
Term Online
More>>
Table of Content
25 August 2012, Volume 32 Issue 4
Previous Issue
Next Issue
The Effects of Leukemia Related Gain-of-function Mutant SHP-2 on Murine Angiogenesis
in vivo
YANG Jin-lian, LU Yan-min, YANG Fan, ZHENG Hong, QU Cheng-kui, WANG Si-ying
2012, 32(4): 259-264. DOI:
10.3969/j.issn.1674-5817.2012.04.001
Asbtract
(
481
)
PDF
(487KB) (
372
)
References
|
Related Articles
|
Metrics
Objective
To study the effect of the activated mutant SHP-2 on murine angiogenesis and its role in tumorigenesis.
Methods
Heterozygous SHP-2 D61G mutant knock in and wild type C57BL/6 mice were used. The Matrigel containing FGF, VEGF was injected in the local subcutaneous of mouse to induced the angiogenesis. The method of Colorimetric Technique was used to detect the content of Hemoglobin (HB) in the matrigel to represent vascular density. The mouse peripheral blood HB concentration was assayed by the Blood Count Instrument for balance of HB level in matrigel. Then the matrigel was fixed and section was made and done Immunohistochemistry (IHC) for CD31 positive endothelial cell analysis. Finally the Transwell system was used to detect the migrating ability of mouse embryonic fibroblasts (MEFs).
Result
The HB level was higher in matrigel from SHP-2 D61G mutant mice than that from WT control mice. CD31 positive cells were increased dramatically in matrigel from SHP-2 mutant mouse than that from WT control group(
P
<0.01). The migration of SHP-2 D61G mutant MEFs were much more than WT MEFs (
P
<0.01).
Conclusion
Leukemia related mutant SHP-2 may promote mouse angiogenesis and the promotion effect may be related with the enhanced migrated ability of SHP-2 mutant cell.
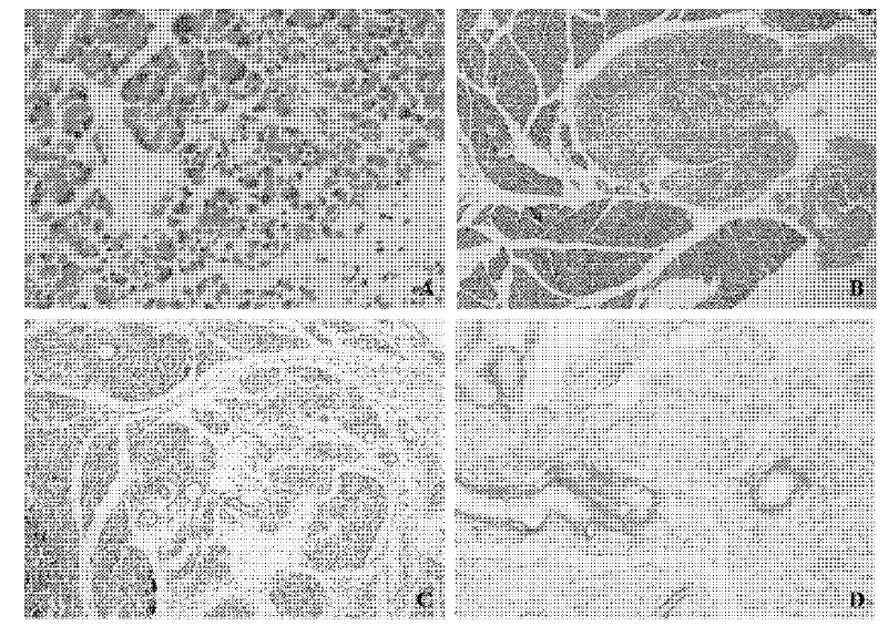
Pathological Changes of Lymph Nodes and Spleen in Rhesus Monkeys Infected with Simian Immunodeficiency Virus
ZHANG Ping, WU Yu-e, ZHANG Yu, MIN Fan-gui, WANG Jing, TAN Wen-ya, HUANG Ren
2012, 32(4): 265-269. DOI:
10.3969/j.issn.1674-5817.2012.04.002
Asbtract
(
674
)
PDF
(713KB) (
414
)
References
|
Related Articles
|
Metrics
Objective
To explore the pathogenesis of SIV infection and simian AIDS, the pathological changes of lymph nodes and spleen in rhesus monkeys with infection of simian immunodeficiency virus(SIV) were observed.
Methods
The spleen and lymph nodes from Rhesus monkeys with infection of simian immunodeficiency virus (SIV) were examined by light and electron microscopy.
Results
Pathological changes of the lymph nodes under light microscope can be classified into 3 types: proliferation, degeneration and failure. The viral like-particles were seen mainly in cytoplasm and nucleus of lymphocyte and cytoplasm of vein endothelial cell under electron microscopy, and some viral particles arrayed in crystalline.Electron microscopy observation of lymph nodes and spleen revealed that the ultrastructure changes is particularly mitochondrial damage which included hyperplasia, swelling and paramorphia(Giant mitochondria).
Conclusion
Similar phathological changes of lymph nodes were found in SIV-infected rhesus monkeys as compared with those in HIV/AIDS patients. SIV monkey models can be applied to explore the pathogenesis of SIV infect-ion and simian AIDS. The simian immunodeficiency virus particles arrayed in crystalline was first found in this experiment.
Evaluation and Comparison on Three Chronic Pancreatitis Rat Models
ZHAO Hang, HUANG Dan-dan, DONG Yu-wei, ZHANG Ru-ling, ZHOU Hui
2012, 32(4): 270-273. DOI:
10.3969/j.issn.1674-5817.2012.04.003
Asbtract
(
764
)
PDF
(452KB) (
416
)
References
|
Related Articles
|
Metrics
Objective
To observe and compare three chronic pancreatitis rat models including cerulean injection, pancreatic-bile duct ligation and L-arginine injection.
Methods
The rats were randomly divided into Cerulein group, Ligation group and Arginine group respectively. Chronic pancreatitis were induced by intraperitoneal injection or surgery according to the grouping. Blood amylase, ALT, glucose, TNF-α and IL-1β were detected on 3 d, 7 d and 14 d after modeling. Histopathological scores of pancreas were evaluated and collagen in pancreas was stained with Van Gieson method. Expression of TGF-β in pancreas were detected by RT-PCR method.
Results
There was no significant difference in serum ALT, glucose, TNF-α and IL-1β levels of three groups. On 3d time point, histopathological scores of Cerulein group were significantly lower than that of Ligation group and Arginine group. Reticulate red stained collagen could be found in all three groups. Expression of TGF-β in pancreas of Cerulein group was significantly lower than that of Ligation group.
Conclusions
Three chronic pancratitis models all have their advantages and disadvantages, and method using arginine in chronic pancreatitis model induction is more convenient.
Expression of 5-HTR1A in Hypothalamus of Pre-Menstrual Syndrome Liver-qi Depression Model Rats
XU Kai-yong, GAO Jie, SONG Chun-hong, LI Zi-fa, WEI Sheng, ZHANG Hui-yun
2012, 32(4): 274-278. DOI:
10.3969/j.issn.1674-5817.2012.04.004
Asbtract
(
394
)
PDF
(312KB) (
350
)
References
|
Related Articles
|
Metrics
Objective
To investigate the pathogenesis and drug target through the study about expression of 5-HTR1A in the hypothalamus of Pre-Menstrual Syndrome (PMS) Liver-qi Depression Model Rats.
Methods
The PMS Liver-qi Depression model was established by bounding the rat's feet, Then it was divided into control group, model group and treated group which were treated with Jingqianshu pellet. The mRNA and protein expressions of 5-HTR1A in the hypothalamus of the model Rats were detected by RT-PCR and Western Blotting separately. The data were analyzed by the one-way ANOVA and LSD with the software SPSS 16.0.
Results
The mRNA and protein expressions of 5-HTR1A in the hypothalamus of model group were decreased significantly compared with the control group. And the expressions of the treated group with Jingqianshu pellet were increased significantly compared with the model group. But there were no significant difference between the treated and the control groups.
Conclusion
The expressions of 5-HTR1A in the hypothalamus of PMS Liver-qi Depression Model Rats were decreased significantly compared with the control rats, and then the expressions level could recovered to the control level after treated with Jingqianshu pellet. Therefore, it was demonstrated that the expression of 5-HTR1A and PMS Liver-qi Depression may related, and the gene could be the drug target of Jingqianshu granule.
Effect of GnRH Analogues on Expression of HOXA10 and Integrin β3 in Adenomyosis Mouse
YANG Qing-qing, NIU Zhi-hong, XIA Li-qun, FENG Yun
2012, 32(4): 279-284. DOI:
10.3969/j.issn.1674-5817.2012.04.005
Asbtract
(
483
)
PDF
(660KB) (
356
)
References
|
Related Articles
|
Metrics
Objective
To compare the effect of GnRH analogues on endometrium receptivity of adenomyosis mouse model induced by tamoxifen.
Methods
The mouse model of adomyosis was made through Oral administration of \tamoxifen.when adenomyosis was established, mice were randomly divided into three groups and were intraperitoneally injected with normal saline, triptorelin, cetrorelix respectively; there were another two groups of normal mice injected with triptorelin,cetrorelix. After injection, the mice werre mated with the male ones, Then each group mice was divided into two parts, one part would be collected uterus in implant window, and another would be euthanized to calculate the number of embryo on E13.5 d.
Result
The endometrium receptivity (HOXA10, integrin β3)of the adenomyosis mouse model was decreased and there werre no embryo implanted, and in cetrorelix group,there was no significantly change. But in triptorelin group, endometrium receptivity was increased and the number of embryo was 23. However, triptorelin could not improve the endometrium receptivity. of normal mice.
Conclusion
Triptorelin can improve the endometrium receptivity of adenomyosis mice model but not for normal mice, and cetrorelix can not increase endometrium receptiveity.
Establishment of Animal Model of Multiple Organ Dysfunction Syndrome on Highland Scene in Sheep
NIU Ting-xian, WAN Dong-jun, LU Lu, FENG Xiao-ming, LUO Xiao-hong, CAI Rang-cao
2012, 32(4): 285-289. DOI:
10.3969/j.issn.1674-5817.2012.04.006
Asbtract
(
484
)
PDF
(253KB) (
336
)
References
|
Related Articles
|
Metrics
Objective
To establish an simple and effective animal model of multiple organ dysfunction syndrome (MODS) induced by lipopolysaccharide (LPS) on highland scene in sheep.
Methods
Sheep was divided into the control, GroupⅠand Group. After anaesthetizing, 3 μg/kg and 6 μg/kg LPS were intravenously infused into GroupⅠand GroupⅡ sheep in 30 minutes and 60 minutes respectively. Sheep in the control group was treated by isotonic Na chloride in the same method. Then the indexes were determined in blood gas, the number of white blood cell (blood routine WBC) and blood biochemistry at the different time point.
Results
After intravenous injecting LPS, the death rate was 50% and 70% in GroupⅠand GroupⅡrespectively. The oxygenation index was evidently descendent (
P
<0.05 or
P
<0.01), creatine kinase (CK), creatine kinase isozyme (CK-MB), aspartic transaminase (AST), alanine aminotransferase (ALT), total bilirubin (TBIL) and creatinine (CRE) were conspicuously ascendant (
P
<0.05 or
P
<0.01) at the different time point. But CK and CK-MB were obviously descendent (
P
<0.05 or
P
<0.01) from 48 h to 72 h. The number of white blood cell (WBC) was obviously decreased in 3 hours after intravenous injecting LPS, then it markedly increaed (
P
<0.05 or
P
<0.01).
Conclusion
The animal model of MODS was established by 3 μg/kg and 6 μg/kg of LPS successfully on highland scene.
Evaluations on Rat Model of Tibia Cancer Pain with Bone Mineral Density
MIAO Jian-cheng, ZHAO Ying, CHEN Guo-qiang, ZHAO Li-ya, JIN Yi, LIU Da-hai, QIAO Wei-wei, ZHAO Xian-zhe
2012, 32(4): 290-294. DOI:
10.3969/j.issn.1674-5817.2012.04.007
Asbtract
(
634
)
PDF
(599KB) (
369
)
References
|
Related Articles
|
Metrics
Objective
To evaluate the rat tibia cancer pain model with bone mineral density by iconography.
Method
Thirty six female Sprague-Dawley (SD) rats were randomly divided into a control group and two model groups with 12 rats in each. Rats from model groups were received intra-tibia injection of syngeneic Walker 256 rat mammary gland carcinoma cells. Series of tests were carried out including spontaneous pain score, mechanical stimuli pain hypersensitivity test, X-ray imaging, bone mineral density test and histopathology observation.
Result
Bone mineral density test could make the difference between each group, and the result of BMD test was the same as other tests.
Conclusion
Bone mineral density (BMD) can be used to evaluate rat tibia cancer pain model.
Establishment of Autoimmune Myocarditis Model Induced by Immunization of Mice with Bovine Serum Albumin
NIU Mei-zhen, LI Ji-ling
2012, 32(4): 295-299. DOI:
10.3969/j.issn.1674-5817.2012.04.008
Asbtract
(
531
)
PDF
(591KB) (
355
)
References
|
Related Articles
|
Metrics
Objective
To approach feasible of autoimmune myocarditis induced by immunization of mice with bovine serum albumin, to proved a new animal model of autoimmune myocarditis.
Methods
Experimental group and control group were subcutaneously treated with 0.5 ml 10% bovine serum albumin and physiological saline respectively on day 0, 3, 5, and 10, and then related tests were conducted on day 14 and 28 to confirm if the model was established successfully.
Results
On day 14 after the first immunization with bovine serum albumin, all BALB/c mice from the experimental group were developed with myocardial interstitial lymphocytic infiltrates, focal myocardial necrosis and haemorrhages, accompanying with endocarditis and epicarditis. Under the electron microscope: It was found myocardial cell and mitochondria swelling, muscle fibers dissolved and lymphocyte infiltration. A high titer of myocardium creatase and more lymphocyte were detected in the immunized mice. On day 28 after the first immunization with bovine serum albumin, the inflammation and myocardial necrosis were not seriously, a same titer of myocardium creatase and less lymphocyte were detected in the immunized mice.
Conclusion
Autoinmune myocarditis can be induced by immunization of mice with bovine serum albumin, pathological changes of the animal model arre typical, the rate of colony is high.
Heart Failure Model with Thyroid Dysfunction Induced by Low-dose Isoprenaline
WANG Hong-ping, REN Ying, SHAO Qi, ZHU Wei, WEI Meng
2012, 32(4): 300-303. DOI:
10.3969/j.issn.1674-5817.2012.04.009
Asbtract
(
628
)
PDF
(227KB) (
359
)
References
|
Related Articles
|
Metrics
Objective
To establish the rat experimental model of heart failure with thyroid dysfunction by using low-dose Isoprenaline(ISO).
Methods
In accordance with the dosage and route of administration of ISO, the rats were randomly divided into 6 experiment groups and the control group with 2 ml saline by intraperitoneal injection.Before administration and on 10 day after administration, echocardiography was conducted and CK, LDH, FT
3
, FT
4
were detected. On 11 day the animals were sacrificed and the hearts were sampled for TTC staining.
Results
(1)No death in group 3mg.kg
-1
.d
-1
, the survival rate in group 5 mg·kg
-1
·d
-1
×3 d,10 kg
-1
·d
-1
×3 d and 6 mg·kg
-1
·d
-1
×7d were 50%, 60%, 80% respectively; (2) compared with the control group,left ventricular fractional shortening (FS) was significantly decreased in all groups (
P
<0.05), and group 6 mg·kg
-1
·d
-1
×7 d was lower than the others(
P
<0.05); (3) CK and LDH increased more significantly after administration, and serum FT
3
concentration in group 6 mg·kg
-1
·d
-1
×7 d obviously lower than group 10 mg·kg
-1
·d
-1
×3 d (
P
<0.05); (4) the myocardial infarction area in experimental group was more obvious compared with the control group(
P
<0.05), the percentage of the myocardial infarction weight was more visible in group 6 mg·kg
-1
·d
-1
×7 d compared with group 10 mg·kg
-1
·d
-1
×3d (
P
=0.02).
Conculusion
The best dosage and route of administration was that administering ISO (6 mg·kg
-1
·d
-1
) by intraperitoneal injection, the total dose was done twice with one hour interval,continuous administration for 7 days. This experiment provided an easy way to establish the animal model of heart failure with thyroid dysfunction, which was reproducible,credibie, stable and had low mortality and a high success rate.
Inhibitive Effects of Zinc on Methylmercury-induced Oxidative Reactive Damage in Rats
SHI Yong, SHI Qi, SONG Xiang-fu, LIU Hang, Yan Zhao-hong
2012, 32(4): 304-307. DOI:
10.3969/j.issn.1674-5817.2012.04.010
Asbtract
(
418
)
PDF
(213KB) (
340
)
References
|
Related Articles
|
Metrics
Objective
To investigate the changes of tissue and hematological oxidation in acute methyl mercury-contaminated rat.
Method
The total of rats were randomly divided into three groups, zinc+methyl mercury groups, methyl mercury exposure group and control group. zinc+methyl mercury groups were treated with different doses of ZnSO4 (2.86, 5.72, 8.58, 11.44 mg/kg) by intraperitoneal injection every day. On the 6th day, the rats in all groups except control group were exposed to methylmecury by oral administration. All the rats were sacrificed on the 7 th day, the activity of superoxide dismutase (SOD) and glutathione peroxidase (GHS-Px) in the liver, brain, kidney and blood were determined.
Results
With the zinc+methyl mercury groups, compare to the treatment of methylmecury, the activities of SOD significantly increased (
P
<0.05) and GSH-Px significantly decreased (
P
<0.05) in the tissues and blood, and shown a significant positive correlation.
Conclusion
The Zinc has significant inhibitive effect on methylmercury-induced oxidative damage in rats.
Establishment of Acute Renal Impairment Model Induced by Cisplatin in Mice
YANG Xi-hua, ZHANG Sheng-wan, REN Lian-sheng, BAI Xi-hua
2012, 32(4): 308-310. DOI:
10.3969/j.issn.1674-5817.2012.04.011
Asbtract
(
1665
)
PDF
(344KB) (
612
)
References
|
Related Articles
|
Metrics
Objective
To establish a model of acute renal function impairment induced by cisplatin in mice.
Method
The mice were injected with 10 mg/kg cisplatin in the 1st day to establish acute renal impairment model. The mice in the control group were dosing commensurable 0.9% NaCl saline solution. The mice were taken eyeballs for blood collection after anesthesia by pentobarbitalin the 8th day, and the serum CRE, BUN levels were measured. Pathological analysis was taken to compare the changes of the renal tissues between model group and control group.
Results
CRE and BUN levels were raised obviously in the model group, renal index, body weight and immune organic weight were reduced obviously in the model group, at the same time, the liver index was raised in the model group. The result of the pathological analysis was showed that the degeneration and necrosis of renal tubular epithelial cells were observed in the model group, and there are some inflammatory infiltrates foci in renal mesenchymal cells in the model group.
Conclusion
Acute renal impairment model could be established by injected 10 mg/kg cisplatin in 32-40 g mice.
Construction and Identification of scFv (OMgp)-9R-siRNA Bispecific Complex Inhibit the Expression for genes of MAG, OMgp, NogoA
MA Jian-guo, YAN Wang-jun, LIU Tie-long, XIAO Jian-ru, ZHOU Xu-hui, JIA Lian-shun
2012, 32(4): 311-317. DOI:
10.3969/j.issn.1674-5817.2012.04.012
Asbtract
(
284
)
PDF
(383KB) (
362
)
References
|
Related Articles
|
Metrics
Objective
The antibody targeted technical combined with siRNA was used to produce a bispecific complex scFv-9R-siRNA, which is a highly efficient delivery system. The delivery system would specifically transport the specific siRNAs of MAG, OMgp and NogoA to the injuried nerve cells through anti-Omgp scFv to inhibit the expression of these three axon-inhibitors, improve the local micro-environment after spinal cord injury, block the inhibition of these myelin-related inhibitors on axonal regeneration, and establish solid foundation for the subsequent rat model experiment.
Methods
(1) Single-chain antibody scFv (OMgp) was constructed with monoclonal anti-OMgp by recombinant DNA technology, and then, scFv (OMgp)-9R-siRNA was non-covalent synthesized for the genes of MAG, OMgp, NogoA; (2) Effects identification of scFv (OMgp)-9R-siRNA complex in vitro: mRNA and protein expression levels of MAG, OMgp and NogoA were identified in nerve cells comparing with non-nerve cells at the same time, to discover the cell-targeting specificity of scFv.
Results
(1) Rat OMgp monoclonal antibody E811 was successfully prepared, then specificity and sensitivity of that were idendified with ELISA and Western blotting. Finally we successfully got the scFv (OMgp)-9R-siRNA complex; (2)
In vitro
experiments confirmed that: scFv (OMgp)-9R-siRNA complexes simultaneously decreased the expression of MAG, OMgp and Nogo A specifically.
Conclusion
Single chain antibody technology resolved the specific import problems of siRNAs, and provided the foundation for the further study which is transporting the specific siRNA to damaged neurons in vivo and made axonal regeneration on the condition of spinal cord injury.
Research on Silkworms Silk Gland Bioreactor Expressing huIFN-ω
YAO Ling, XU Han-fu, XIA Qing-you
2012, 32(4): 318-323. DOI:
10.3969/j.issn.1674-5817.2012.04.013
Asbtract
(
442
)
PDF
(479KB) (
355
)
References
|
Related Articles
|
Metrics
Objective
To establish the silk gland bioreactor platform which expresses foreign proteins, and to assess practicality of the foreign proteins.
Methods
Using human interferon-ω gene as the target gene, silkworm (Bombyx mori) middle silk gland specific gene Ser1 as promoter, enhanced green fluorescent protein (EGFP)which expresses specially in the eyes and Nervous system as a reporter, then they are built into the piggyBac -based vector derived from Trichoplusia ni Lepidoptera (Trichoplusia ni) for the silkworm middle silk gland-specific expression vector pBac [ser1-huIFN -ω, 3xp3-EGFP]. We injected the plasmid into post-natal 1-3h of early embryos (P50) and screened positive individuals. By PCR, RT-PCR and other methods for detection of positive individuals, and silk gland total protein was analysed by western blotting and cytotoxicity testing.
Results
We got the transgenic silkworm individuals, huIFN-ω gene had a high level of transcription in th middle silk gland, the recombinant protein huIFN-ω has a certain anti-proliferative activity.
Conclusion
The use of the silk gland bioreactor express biologically active protein huIFN-ω is correct and that means the silk gland can be as a “biological factory” to product a large scale and efficient high value-added foreign proteins, it's also supply the theoretical basis for promotion and application the biological products.
Exploring SNPs on ChrY of
Microtus fortis
JIANG Xian-huan, CAI Hui-qiang, GAO Jun, NI Li-ju, LI Kai, XIAO Jun-hua, ZHOU Yu-xun
2012, 32(4): 324-328. DOI:
10.3969/j.issn.1674-5817.2012.04.014
Asbtract
(
395
)
PDF
(408KB) (
345
)
References
|
Related Articles
|
Metrics
Objective
To obtain the sequences of Y chromosome of
Microtus fortis calamorum
and
Microtus fortis fortis
, and find out some SNPs of these two subspecies.
Methods
Eight short segments' sequences involving in introns of ChrY are sequenced by using Y chromosome conserved anchored tagged primers, which would be used to design two new pairs of primers to achieve two long fragments of several kb in size through LA-PCR (Long and accurate polymerase chain reaction).
Results
About 7300 bp long on ChrY of
M.f.calamorum
and
M.f.fortis
is obtained respectively, for the first time, and 4 SNPs by comparing the sequences of these two subspecies are obtained.
Conclusion
The 7300 bp sequences on Y chr and 4 SNPs are obtained.
Genetic Analysis of Microsatellite DAN Loci in Inbred Wuzhishan Minipig
YUAN Wen, WANG Jin, LIU Xiang-mei, MIN Fan-gui, PAN Jin-chun, WANG Xi-long
2012, 32(4): 329-333. DOI:
10.3969/j.issn.1674-5817.2012.04.015
Asbtract
(
397
)
PDF
(246KB) (
343
)
References
|
Related Articles
|
Metrics
Objective
To study the genetic variation and inbreeding of inbred Wuzhishan Minipig(WZSP) breeds.
Methods
Twenty-six microsatellite loci were utilized to analyze the genetic diversity of the inbred WZSP breeds. Number of alleles (N) of each locus in the breeds was counted, the rate of homozygote, polymorphism information content (PIC) and heterozygosity (H) were calculated.
Results
The 180 alleles in WZSP breeds were detected, the average allelic number per locus was 6.92, the mean homozygosity was 56.57%. The average value of PIC and H was 0.6042 and 0.4478 respectively.
Conclusion
The inbred WZSP breeds is a genetically stabilized breed with high homozygosity.
Analysis on Morphology and Growth Characteristics of Mugilogobius chulae
LI Jian-jun, CHEN Xiao-qu, LIN Zhong-ting, ZHENG Wei-qiang, HUANG Ren
2012, 32(4): 334-340. DOI:
10.3969/j.issn.1674-5817.2012.04.016
Asbtract
(
722
)
PDF
(322KB) (
370
)
References
|
Related Articles
|
Metrics
Objective
To accumulate biology data for experimental development of
Mugilogobius chulae
, the morphology and growth characteristics of housing and propagation of
M. chulae
were studied.
Methods
M. chulae
were cultivated under constant temperature (24℃~26℃), the morphology and growth characteristics in various developing stages were measured and analyzed by SPSS software.
Results
There were significant differences between male and female in the ratio of standard length to head length, head length to eye diameter, head length to caudal peduncle length, and head length to caudal peduncle depth. The relation formula between total length, standard length, body weight and age of day was L
T
=5.2×10
-7
t
3
-0.0007t
2
+0.2583t+0.5666 (R
2
=0.995), LB =4.6×10
-7
t
3
-0.0006t
2
+0.2239t+0.477(R
2
=0.993) and WB=-8.0×10
-7
t
3
-0.0002t
2
+1.7226t-63.732 (R2=0.997) respectively. The relation formula between standard length and body weight was W=0.0136LB3.1103 (R2=0.977). The Von Bertalanffy growth equations of total length (LT), weight (WT) and age of day were L
T
=37.5×(1-0.6e
-0.012t
)
3
, W
T
=775.7×(1-1.68e
-0.08t
)
3
, respectively. The condition factor of
M. chulae
was continuously increasing with individual growth and the male was grown faster than the female.
Conclusions
The increase rate of total length, body length and weight of
M. chulae
were showed tendency to descend with age. Average daily increase of total length and body length were ascended during larvae and juvenile stages, and then it was slowed down. The average daily increase of body weight was increased faster in early period but slower after 250-day-old. The individual difference of growth of
M. chulae
was not significant.
The Role of IL-12 on Hematopoietic Recovery from X-ray Irradiation Induced Damage
XIA Shu-qi, WANG Zeng-song, WANG Cui-ling, LI Wen-tang, XIE Fei-qun, NIU Li-hong, GUO Gui-ling, LUO Qun-huang, ZHANG Yi-jun
2012, 32(4): 341-343. DOI:
10.3969/j.issn.1674-5817.2012.04.017
Asbtract
(
333
)
PDF
(159KB) (
344
)
References
|
Related Articles
|
Metrics
Objective
To assessed the ability of interleukin -12 (IL-12) to facilitate hematopoietic recovery from X-ray irradiation.
Method
BALB/c mice received different doses of recombinant murine interleukin -12 (rmIL-12) before 2 hours and after 24 hours of X-ray irradiation respectively. Blood was collected to test the blood profiles differences between pre-irradiation and post-irradiation.
Results
White blood cells of mice in all groups were decreased to the lowest level on day 4 after irradiation and then began to rise. On day 8 after irradiation, the number of white blood cells in rmIL-12 (200 ng per mice) treatment group was significantly higher than those of placebo saline group, 50 ng rmIL-12 treatment group and 2.5 μg rhG-CSF treatment group (
P
<0.001), red blood cells in all groups were decreased persistently and reached the lowest level on day 12. Starting from the 12th day, the number of red blood cells in each group began to recover. On day 12, the number of red blood cells in rmIL-12 (200 ng) treatment group was significantly higher than that of placebo saline group (
P
<0.001); platelets in irradiated mice demonstrated a downward trend within 8 days following irradiation, and administration had little effect on such decline. On day 12, platelets began to increase in all groups, but no significant difference was noted.
Conclusion
IL-12 can significantly promote hematopoietic recovery from X-ray irradiation induced damage. And this study provided an experimental basis for IL-12 in the clinical treatment of hematopoietic system damage.
Application of Cynomolgus Monkey in Medical Science
SHI Qiao-juan, LI wei, SA Xiao-ying
2012, 32(4): 358-365. DOI:
10.3969/j.issn.1674-5817.2012.04.023
Asbtract
(
1307
)
PDF
(552KB) (
468
)
References
|
Related Articles
|
Metrics
Cynomolgus monkey is one species of non-human primates, whose structure of tissues, immunity, physiology and metabolism are very similar to those of human, so they have been the most important and ideal experimental animals. In this paper, recent progress and their applications in biomedical research such as nervous system, reproductive system, stem cells, malignant diseases and diabetes are mainly reviewed.
A Review on Application of Fish as Laboratory Animal and Some Aspects on its Standardization
XIONG Jing, GUAN Rui-zhang, WANG Yi-lei, ZHANG Dong-ling
2012, 32(4): 366-370. DOI:
10.3969/j.issn.1674-5817.2012.04.024
Asbtract
(
341
)
PDF
(302KB) (
368
)
References
|
Related Articles
|
Metrics
With the rapid development of the life sciences and biotechnology, the researches using fish as laboratory animal became more and more popular. This review summarized the application and exploitation of fish as laboratory animal, including the main species, researches applications and some aspects of the fish as laboratory animal during its standard research procession. And it aimed to provide some references on the standard researches about the fish as laboratory animal.