Laboratory Animal and Comparative Medicine ›› 2025, Vol. 45 ›› Issue (5): 611-622.DOI: 10.12300/j.issn.1674-5817.2025.027
• Animal Experimental Techniques and Methods • Previous Articles Next Articles
OU Meizhen1, LI Yongfeng2, WEN Sha1, LIAO Zhouxiang2, HUANG Xuejing1, YANG Lichao1,3(
)(
), HE Min1,2,3,4(
)(
)
Received:2025-03-01
Revised:2025-04-15
Online:2025-10-25
Published:2025-10-23
Contact:
YANG Lichao, HE Min
CLC Number:
OU Meizhen,LI Yongfeng,WEN Sha,et al. Preparation of Monoclonal Antibody to Vasorin in Tree Shrew and Exploration of Its Application[J]. Laboratory Animal and Comparative Medicine, 2025, 45(5): 611-622. DOI: 10.12300/j.issn.1674-5817.2025.027.
Add to citation manager EndNote|Ris|BibTeX
URL: https://www.slarc.org.cn/dwyx/EN/10.12300/j.issn.1674-5817.2025.027
Figure 1 Construction of the pET-30a-VASN recombinant plasmidNote: A, VASN gene amplification product (M, DNA Marker; 1, VASN amplification product); B, PCR identification of monoclonal colonies (1-5, different colonies); C, Recombinant plasmid double digestion identification (1-2, pET-30a-VASN double digestion product).
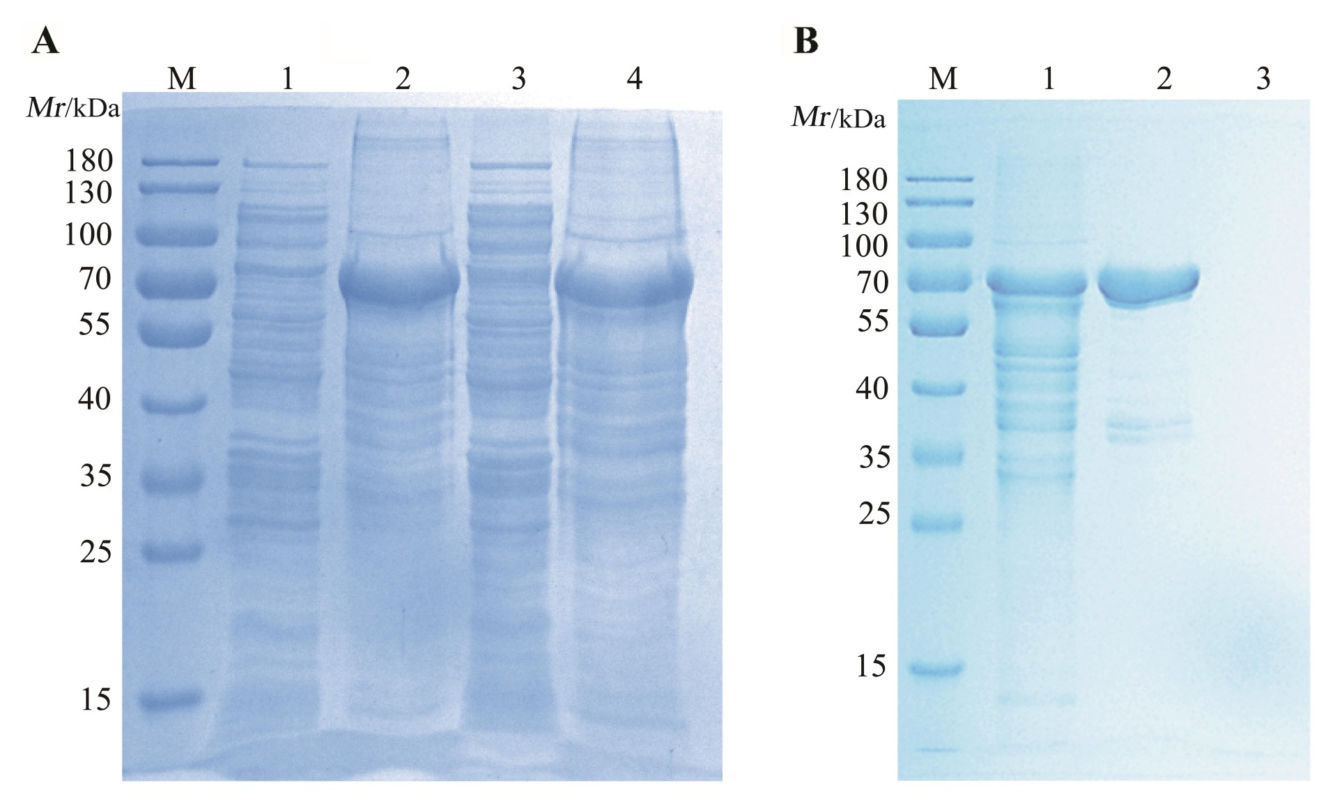
Figure 2 Expression and purification of VASN recombinant proteinNote: A, Expression of VASN recombinant protein (M, Protein marker; 1, Uninduced pET-30a-VASN supernatant; 2, Uninduced pET-30a-VASN precipitate; 3, Induced pET-30a-VASN superna-tant; 4, Induced pET-30a-VASN precipitate); B, Purification of VASN recombinant protein (M, Protein marker; 1, Before purifi-cation of VASN recombinant protein; 2, After purification of VASN recombinant protein; 3, Protein loading buffer).
Figure 3 Preparation of monoclonal antibody to tree shrews VASNNote: A, Mouse serum titer; B, Fusion process of mouse spleen cells and SP2/0 myeloma cells; C, Monoclonal antibody ascites purified (M, Protein marker; 1, Purified TV5-B11); D, Monoclonal antibody affinity measurement; E, Antibody specificity identification (M, Protein marker; 1, tree shrews VASN recombinant protein; 2, porcine retinol-binding protein 4 recombinant protein; 3, human VASN-leucine rich repeat recombinant protein; 4 bovine serum albumin standard protein); F, Antibody gradient concentration identification (M, Protein marker; 1, 0.5 μg; 2, 1.0 μg; 3, 1.5 μg; 4, 2.0 μg).
Figure 4 Application of tree shrews VASN antibodyNote:A, The protein expression level of VASN in various tissues of tree shrew was identified by Western blotting(M, Protein marker; 1, Heart tissue; 2, Liver tissue; 3, Spleen tissue; 4, Lung tissue; 5, Kidney tissue; 6, Muscle tissue); B, Relative expression levels of VASN mRNA in various tissues of tree shrews detected by qRT-PCR (Compared with lung tissue,???P<0.001,????P<0.000 1; compared with spleen tissue, ###P<0.001,####P<0.000 1); C, Amplification results of the VASN gene(M, DNA Marker; 1, Positive control; 2, VASN amplification product; 3, Blank control); D, Antibodies were used in immunohistochemistry to identify the expression of VASN protein in immortalized fibroblasts of tree shrews; E, Antibodies were used in immunohistochemistry to identify the expression of VASN protein in spleen tissue; F, Antibodies were used in immunohistochemistry to identify the expression of VASN protein in lung tissue.
| [1] | 黄晓燕, 徐娟, 孙晓梅, 等. 树鼩在人类疾病动物模型中应用研究进展[J]. 实验动物科学, 2013, 30(2):59-64. DOI: 10.3969/j.issn.1006-6179.2013.02.014 . |
| HUANG X Y, XU J, SUN X M, et al. Development of application of tree shrew in human disease animal models research[J]. Lab Anim Sci, 2013, 30(2):59-64. DOI: 10.3969/j.issn.1006-6179.2013.02.014 . | |
| [2] | 王文广, 匡德宣, 仝品芬, 等. 树鼩的标准化研究与应用进展[J]. 实验动物科学, 2020, 37(1):74-78. DOI: 10.3969/j.issn.1006-6179.2020.01.016 . |
| WANG W G, KUANG D X, TONG P F, et al. Standardization and application progress of tree shrew[J]. Lab Anim Sci, 2020, 37(1):74-78. DOI: 10.3969/j.issn.1006-6179.2020.01.016 . | |
| [3] | 苏傲蕾, 秦银鸽, 郑禹, 等. 树鼩的生物学特性研究概述[J]. 动物医学进展, 2014, 35(10):115-118. DOI: 10.16437/j.cnki.1007-5038.2014.10.031 . |
| SU A L, QIN Y G, ZHENG Y, et al. Introduction to biological characteristics of tree shrew[J]. Prog Vet Med, 2014, 35(10):115-118. DOI: 10.16437/j.cnki.1007-5038.2014.10.031 . | |
| [4] | HEIDARI F, MADADI S, ALIZADEH N, et al. The potential of monoclonal antibodies for colorectal cancer therapy[J]. Med Oncol, 2023, 40(9):273. DOI:10.1007/s12032-023-02151-1 . |
| [5] | 黄建洪, 张春阳. 单克隆抗体在肾移植免疫抑制治疗中的应用进展[J]. 医学综述, 2008, 14(5):752-754. |
| HUANG J H, ZHANG C Y. The application of monoclonal antibodies in immunosuppressive strategies of renal transplantation[J]. Med Recapitul, 2008, 14(5):752-754. | |
| [6] | PAUL S, KONIG M F, PARDOLL D M, et al. Cancer therapy with antibodies[J]. Nat Rev Cancer, 2024, 24(6):399-426. DOI:10.1038/s41568-024-00690-x . |
| [7] | SORBARA M, CORDELIER P, BERY N. Antibody-based approaches to target pancreatic tumours[J]. Antibodies, 2022, 11(3):47. DOI: 10.3390/antib11030047 . |
| [8] | KLEIN C, BRINKMANN U, REICHERT J M, et al. The present and future of bispecific antibodies for cancer therapy[J]. Nat Rev Drug Discov, 2024, 23(4):301-319. DOI: 10.1038/s41573-024-00896-6 . |
| [9] | GUO X H, WU Y, XUE Y, et al. Revolutionizing cancer immunotherapy: unleashing the potential of bispecific anti-bodies for targeted treatment[J]. Front Immunol, 2023, 14:1291836. DOI: 10.3389/fimmu.2023.1291836 . |
| [10] | 曹颖颖, 李宝莹, 王婷, 等. 瑶山亚种树鼩IFN-β和IFN-γ原核表达及其多克隆抗体制备[J]. 南方农业学报, 2022, 53(6):1713-1723. DOI: 10.3969/j.issn.2095-1191.2022.06.025 . |
| CAO Y Y, LI B Y, WANG T, et al. Prokaryotic expression and polyclonal antibody preparation of IFN-β and IFN-γ of Tupaia belangeri yaoshanensis[J]. J South Agric, 2022, 53(6):1713-1723. DOI: 10.3969/j.issn.2095-1191.2022.06.025 . | |
| [11] | 曹颖颖, 李慧君, 李宝莹, 等. 瑶山亚种树鼩ISG15蛋白表达及其多克隆抗体制备[J]. 中国畜牧兽医, 2022, 49(1):273-282. DOI: 10.16431/j.cnki.1671-7236.2022.01.030 . |
| CAO Y Y, LI H J, LI B Y, et al. Expression of ISG15 protein of Tupaia belangeri yaoshanensis and preparation of its polyclonal antibody[J]. China Anim Husb Vet Med, 2022, 49(1):273-282. DOI: 10.16431/j.cnki.1671-7236.2022.01.030 . | |
| [12] | 吴晋元, 周艳, 解裕萍, 等. 树鼩IgG纯化鉴定及其多克隆抗体制备和检测[J]. 现代生物医学进展, 2016, 16(7):1201-1204. DOI: 10.13241/j.cnki.pmb.2016.07.001 . |
| WU J Y, ZHOU Y, XIE Y P, et al. Purification of tree shrews(Tupaia) immunoglobulin G and preparation of anti-IgG polyclonal antibody[J]. Prog Mod Biomed, 2016, 16(7):1201-1204. DOI: 10.13241/j.cnki.pmb.2016.07.001 . | |
| [13] | MALAPEIRA J, ESSELENS C, BECH-SERRA J J, et al. ADAM17 (TACE) regulates TGF-β signaling through the cleavage of vasorin[J]. Oncogene, 2011, 30(16):1912-1922. DOI: 10.1038/onc.2010.565 . |
| [14] | IKEDA Y, IMAI Y, KUMAGAI H, et al. Vasorin, a transforming growth factor beta-binding protein expressed in vascular smooth muscle cells, modulates the arterial response to injury in vivo [J]. Proc Natl Acad Sci USA, 2004, 101(29):10732-10737. DOI:10.1073/pnas.0404117101 . |
| [15] | QIN Z X, ZHONG Y, LI P W, et al. Vasorin promotes endothelial differentiation of glioma stem cells via stimulating the transcription of VEGFR2[J]. FASEB J, 2024, 38(10): e23682. DOI: 10.1096/fj.202400159R . |
| [16] | LIANG W Y, ZUO J, LIU M K, et al. VASN promotes colorectal cancer progression by activating the YAP/TAZ and AKT signaling pathways via YAP[J]. FASEB J, 2023, 37(1): e22688. DOI: 10.1096/fj.202201181R . |
| [17] | CHEN W S, WANG Q, XU X L, et al. Vasorin/ATIA promotes cigarette smoke-induced transformation of human bronchial epithelial cells by suppressing autophagy-mediated apop-tosis[J]. Transl Oncol, 2020, 13(1):32-41. DOI: 10.1016/j.tranon.2019.09.001 . |
| [18] | YANG L C, CHENG X J, SHI W, et al. Vasorin deletion in C57BL/6J mice induces hepatocyte autophagy through glycogen-mediated mTOR regulation[J]. Nutrients, 2022, 14(17):3600. DOI: 10.3390/nu14173600 . |
| [19] | WAN F J, LI H, HUANG S P, et al. Vasorin promotes proliferation and migration via STAT3 signaling and acts as a promising therapeutic target of hepatocellular carcinoma[J]. Cell Signal, 2023, 110:110809. DOI: 10.1016/j.cellsig.2023.110809 . |
| [20] | WU D N, ZHANG K L, CHEN R H, et al. VASN promotes the aggressive phenotype in ARID1A-deficient lung adenocar-cinoma[J]. BMC Cancer, 2024, 24(1):1327. DOI: 10.1186/s12885-024-13083-y . |
| [21] | GUO X P, SUN J M, LIANG J N, et al. Vasorin contributes to lung injury via FABP4-mediated inflammation[J]. Mol Biol Rep, 2022, 49(10):9335-9344. DOI: 10.1007/s11033-022-07780-9 . |
| [22] | YAO Y G, LU L, NI R J, et al. Study of tree shrew biology and models: a booming and prosperous field for biomedical research[J]. Zool Res, 2024, 45(4):877-909. DOI: 10.24272/j.issn.2095-8137.2024.199 . |
| [23] | TONG Y H, HAO J J, TU Q, et al. A tree shrew glioblastoma model recapitulates features of human glioblastoma[J]. Oncotarget, 2017, 8(11):17897-17907. DOI: 10.18632/oncotarget.15225 . |
| [24] | LIU H R, WU G, ZHOU B, et al. Structure and function of cholesteryl ester transfer protein in the tree shrew[J]. Lipids, 2011, 46(7):607-616. DOI: 10.1007/s11745-011-3552-2 . |
| [25] | ZHENG L T, CHEN S Y, WU Q L, et al. Tree shrews as a new animal model for systemic sclerosis research[J]. Front Immunol, 2024, 15:1315198. DOI: 10.3389/fimmu.2024.1315198 . |
| [26] | KOTHARI M, WANJARI A, ACHARYA S, et al. A comprehensive review of monoclonal antibodies in modern medicine: tracing the evolution of a revolutionary therapeutic approach[J]. Cureus, 2024, 16(6): e61983. DOI: 10.7759/cureus.61983 . |
| [27] | LITTLE M, KIPRIYANOV S M, LE GALL F, et al. Of mice and men: hybridoma and recombinant antibodies[J]. Immunol Today, 2000, 21(8):364-370. DOI: 10.1016/s0167-5699(00)01668-6 . |
| [28] | SKOWICKI M, LIPIŃSKI T. The development of methods for obtaining monoclonal antibody-producing cells[J]. Postepy Hig Med Dosw, 2016, 70:367-379. DOI: 10.5604/1732269 3.1200552 . |
| [29] | 邝贞结. 基因工程重组抗体技术的研究进展[J]. 广东畜牧兽医科技, 2010, 35(5):3-6. DOI: 10.3969/j.issn.1005-8567.2010.05.001 . |
| KUANG Z J. Research progress of recombinant antibody technology in genetic engineering[J]. Guangdong J Anim Vet Sci, 2010, 35(5):3-6. DOI: 10.3969/j.issn.1005-8567.2010.05.001 . | |
| [30] | 董新莹, 高晓薇, 宋浩, 等. 纳米抗体的研究进展及其应用现状[J]. 生物工程学报, 2024, 40(12):4324-4338. DOI: 10.13345/j.cjb.240366 . |
| DONG X Y, GAO X W, SONG H, et al. Research progress and application of nanobodies[J]. Chin J Biotechnol, 2024, 40(12):4324-4338. DOI: 10.13345/j.cjb.240366 . | |
| [31] | 武瑞君, 桑晓冬, 李治非, 等. 抗体技术的研发现状与展望[J]. 中国药理学与毒理学杂志, 2021, 35(5):374-381. DOI: 10.3867/j.issn.1000-3002.2021.05.007 . |
| WU R J, SANG X D, LI Z F, et al. Development and prospect of antibody technology[J]. Chin J Pharmacol Toxicol, 2021, 35(5):374-381. DOI: 10.3867/j.issn.1000-3002.2021.05.007 . | |
| [32] | GILEADI O. Recombinant protein expression in E. coli: a historical perspective[J]. Methods Mol Biol, 2017, 1586:3-10. DOI: 10.1007/978-1-4939-6887-9_1 . |
| [33] | ROSANO G L, CECCARELLI E A. Recombinant protein expression in Escherichia coli: advances and challenges[J]. Front Microbiol, 2014, 5:172. DOI: 10.3389/fmicb.2014.00172 . |
| [34] | SUN J M, GUO X P, YU P, et al. Vasorin deficiency leads to cardiac hypertrophy by targeting MYL7 in young mice[J]. J Cell Mol Med, 2022, 26(1):88-98. DOI: 10.1111/jcmm.17034 . |
| [35] | SUN J M, YIN S W, LI Q R, et al. VASN knockout induces myocardial fibrosis in mice by downregulating non-collagen fibers and promoting inflammation[J]. Front Pharmacol, 2025, 15:1500617. DOI: 10.3389/fphar.2024.1500617 . |
| [1] | LIU Xin, QI Mengdi, WANG Wenguang, HAN Yuanyuan, LU Meili, LI Na, DAI Jiejie, LU Caixia. Study on Susceptibility and Infection Characteristics of Dengue Virus in Cells Sourced from Different Tissues of Tree Shrews [J]. Laboratory Animal and Comparative Medicine, 2025, 45(2): 229-238. |
| [2] | Shanshan ZHAI, Liang LIANG, Yingying CAO, Zhuxin LI, Qing WANG, Junyu TAO, Chenxia YUN, Jing LENG, Haibo TANG. Diagnosis of Trichoepithelioma in a Tree Shrew and Observation of Cell Biological Characteristics [J]. Laboratory Animal and Comparative Medicine, 2023, 43(4): 440-445. |
| [3] | SHI Meiyan, WANG Xuan, WANG Wenguang, RUAN Leiying, DAI Jiejie. Isolation and Culture of Spinal Microvascular Endothelial Cells of Tree Shrews and Experimental Study on Infection with Enterovirus 71 [J]. Laboratory Animal and Comparative Medicine, 2021, 41(2): 148-154. |
| [4] | LI Xiaofei, SUN Xiaomei, WANG Wenguang, KUANG Dexuan, LU Caixia, TONG Pinfen, HAN Yuanyuan, LI Na, DAI Jiejie. Study on Gene Cloning and Preliminary Function of Junction Adhesion Molecule A in Tree Shrew#br# [J]. Laboratory Animal and Comparative Medicine, 2020, 40(3): 196-. |
| [5] | WANG Wen-guang, KUANG De-xuan, LI Na, LU Cai-xia, HAN Yuan-yuan, TONG Pin-fen, SUN Xiao-mei, DAI Jie-jie. Cloning and Analysis of Tree Shrew Mfsd2a Gene and Detection of Its Expression in Different Tissues [J]. Laboratory Animal and Comparative Medicine, 2019, 39(3): 178-186. |
| [6] | WANG Wen-guang, KUANG De-xuan, LU Cai-xia, HAN Yuan-yuan, LI Na, TONG Pin-fen, SUN Xiao-mei, DAI Jie-jie. Isolation, Identification and Subculture of Pulmonary Fibroblasts in Tree Shrew [J]. Laboratory Animal and Comparative Medicine, 2019, 39(2): 105-110. |
| [7] | JIA Jie, DAI Jie-jie. Advantages and Challenges of Tree Shrews in Biomedical Research [J]. Laboratory Animal and Comparative Medicine, 2019, 39(1): 3-8. |
| [8] | ZHANG Zhi-cheng, SONG Qing-kai, LI Xiao-hui, LI Na, YUAN Yuan, HUANG Xin, WANG Xuan, LI Ming-xue, DAI Jie-jie. Behavior Detection Method of MPTP Induced Tree Shrew Parkinson’s Disease Models [J]. Laboratory Animal and Comparative Medicine, 2019, 39(1): 9-14. |
| [9] | WANG Xuan, WANG Wen-guang, LI Na, YUAN Yuan, ZHANG Zhi-cheng, SUN Xiao-mei. Isolation and Identification of Spinal Astrocytes from Tree Shrews [J]. Laboratory Animal and Comparative Medicine, 2019, 39(1): 15-20. |
| [10] | LIU Cheng-xiu, LI Na, TONG Pin-fen, WANG Wen-guang, LU Cai-xia, HAN Yuan-yuan, KUANG De-xuan, SUN Xiao-mei, DAI Jie-jie. Analysis of Microsatellite Genetic Characteristics in of Closed Colony of Tree Shrews [J]. Laboratory Animal and Comparative Medicine, 2018, 38(1): 1-9. |
| [11] | MIAO Yu-run, LI Na, KUANG De-xuan, SONG Qing-kai, YUAN Yuan, WANG Xuan, ZHANG Zhi-cheng, LU Cai-xia. Induction and Differentiation of Tree Shrew Bone Marrow Mesenchymal Stem Cells into Neuron-Like Cells in Vitro [J]. Laboratory Animal and Comparative Medicine, 2017, 37(5): 337-343. |
| [12] | LI Yan-han, LI Jian-fang, SUN Jing, WU Mei-ni, WANG Hai-xuan, HU Yun-zhang. Safety Evaluation on Adjuvant Heparan Sulfate in Tree Shrew [J]. Laboratory Animal and Comparative Medicine, 2017, 37(5): 390-394. |
| [13] | YANG Dong-mei, ZHU Qin, LI Na, GUO Li-yun, ZHANG Xiao-fan, ZHANG Jie-ying, HU Min, DAI Jie-jie. Preliminary Establishment and Research on Form Deprivation Myopia Model in Tree Shrew [J]. Laboratory Animal and Comparative Medicine, 2017, 37(3): 171-178. |
| [14] | WANG Dong-bao, HU Yun-zhang, HU Ning-zhu, HAN Yuan-yuan, KUANG De-xuan, LI Yan-han. The Immunity Effect Evluation on Tree Shrew by Hepatitis A Virus Attenuated Live Vaccine, Hepatitis B Vaccine Independently or Combined Adjuvant Heparan Sulfate [J]. Laboratory Animal and Comparative Medicine, 2017, 37(2): 113-117. |
| [15] | WANG Wen-guang, KUANG De-xuan, YIN Bo-wen, LU Cai-xia, HAN Yuan-yuan, LI Na, TONG Pin-fen, SUN Xiao-mei, CAI Lu-kui, DAI Jie-jie. Study on Infectivity of EV71 in Kidney Cells of Tree Shrew [J]. Laboratory Animal and Comparative Medicine, 2017, 37(2): 123-129. |
| Viewed | ||||||
|
Full text |
|
|||||
|
Abstract |
|
|||||