Laboratory Animal and Comparative Medicine ›› 2025, Vol. 45 ›› Issue (5): 551-560.DOI: 10.12300/j.issn.1674-5817.2025.058
• Special Topic on Laboratory Animals for Traditional Chinese Medicine • Previous Articles Next Articles
LUO Yifan1(
), ZHANG Zhenwei1, MEI Lu1, SHI Yeping1, XING Yitong1, ZHANG Zeqi2,3,4, LI Chuxin2,3,4, HAN Chunxia2,3,4, YANG Pingshun2,3,4(
)(
), CHEN Qiusheng1(
)(
)
Received:2025-04-18
Revised:2025-06-05
Online:2025-10-25
Published:2025-10-23
Contact:
YANG Pingshun, CHEN Qiusheng
CLC Number:
LUO Yifan,ZHANG Zhenwei,MEI Lu,et al. Telocytes-Mediated Effects and Mechanisms of Anointing and Massage Therapy Using Oligopeptide-Herbal Medicine Composite Against Obesity in Rats[J]. Laboratory Animal and Comparative Medicine, 2025, 45(5): 551-560. DOI: 10.12300/j.issn.1674-5817.2025.058.
Add to citation manager EndNote|Ris|BibTeX
URL: https://www.slarc.org.cn/dwyx/EN/10.12300/j.issn.1674-5817.2025.058
Figure 1 Simple obesity model induced by high-fat diet in ratsNote: A, Changes in body weight of rats in the control group (CG) and the obesity modeling group (OG) during the modeling process; B, Serum triglyceride (TG) levels in the control group and the model group (MG); C, Serum high-density lipoprotein cholesterol (HDL-C) levels in the control group and the model group; D-E, Perirenal white adipose tissue (pWAT)and its weight of CG and MG rats, where the D are the representative comparison figures of perirenal white adipose tissue and E represents the perirenal white adipose tissue weight of CG and MG rats. *P<0.05, **P<0.01, ****P<0.000 1.
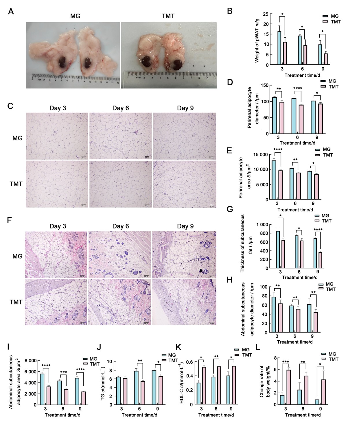
Figure 2 Anointing and massage with oligopeptide-herbal medicine composite accelerates lipid metabolism in ratsNote: A, Perirenal white adipose tissue (pWAT) of model group (MG) and treatment group (TMT) rats; B, Changes in perirenal white adipose tissue weight of model group and treatment group rats; C, HE staining of perirenal white adipose tissue of model group and treatment group rats; D, Changes in perirenal adipocyte diameter of each group; E, Changes in perirenal adipocyte area of each group; F, HE staining of abdominal subcutaneous adipose tissue (aSAT) of model group and treatment group rats; G, Changes in abdominal subcutaneous adipose tissue thickness of each group; H, Changes in abdominal subcutaneous adipocyte diameter of each group; I, Changes in abdominal subcutaneous adipocyte area of each group; J, Changes in serum triglyceride (TG) of model group and treatment group rats; K, Changes in serum high-density lipoprotein cholesterol (HDL-C) of model group and treatment group rats; L, Changes in body-weight loss rate of model group and treatment group rats. Day 3, Day 6, Day 9 represent the 3rd, 6th, 9th day of treatment, respectively; *P<0.05, **P<0.01, ***P<0.001, ****P<0.000 1. Scale bars in C and F indicate 100 μm.
Figure 3 Effect of anointing and massage with oligopeptide-herbal medicine composite on telocytesNote: A, Immunofluorescence characterization of telocytes (TCs, indicated by the white arrows) in abdominal subcutaneous adipose tissue (A1, A2) and perirenal white adipose tissue (A3, A4) of model group (MG) and treatment group (TMT) rats; B, Changes in the number of TCs per unit area of abdominal subcutaneous adipose tissue of the model group and the treatment group; C, Changes in the number of TCs in perirenal white adipose tissue of the model group and the treatment group; D, Telopodes (Tps, indicated by the black arrows) in abdominal subcutaneous adipose tissue of the model group and the treatment group rats as shown in the transmission electron microscope images; E, Tps length of TCs in the model group and the treatment group; *P<0.05, **P<0.01; Scale bar in A indicates 50 μm and in D indicates 2 μm.
Figure 4 Effect of anointing and massage with oligopeptide-herbal medicine composite on subcellular organelles and intercellular junctions of telocytesNote: A, Immunofluorescence images show the gap junctions (indicated by white arrows) labeled with connexin 43 (Cx43) in the perirenal white adipose tissue (the first row) and the abdominal subcutaneous adipose tissue (the second row) of model group (MG) and treatment group (TMT) rats; B, Transmission electron micrographs of TCs (white triangles) and exosome vesicles (black triangles), mitochondria (black wavy arrows), cell junctions (black arrows) and rough endoplasmic reticulum (white five-pointed star); C, The number comparison of exosomes secreted by TCs in abdominal subcutaneous adipose tissue between the model and treatment groups; *P<0.05; Scale bar in A indicates 50 μm and in B indicates 1 μm.
| [1] | BLÜHER M. Obesity: global epidemiology and pathogenesis[J]. Nat Rev Endocrinol, 2019, 15(5):288-298. DOI:10.1038/s41574-019-0176-8 . |
| [2] | ZHAO H Y, PURUMEA J, CHAEWON L, et al. Acupoint catgut embedding for simple obesity in animal studies: a systematic review and Meta-analysis[J]. J Tradit Chin Med, 2023, 43(5):860-867. DOI: 10.19852/j.cnki.jtcm.2023.05.002 . |
| [3] | BARSON J R, KARATAYEV O, GAYSINSKAYA V, et al. Effect of dietary fatty acid composition on food intake, triglycerides, and hypothalamic peptides[J]. Regul Pept, 2012, 173(1-3):13-20. DOI: 10.1016/j.regpep.2011.08.012 . |
| [4] | 宋雅, 孟含姝, 杨青伟, 等. 基于"一气周流"理论探讨中医疗法在肥胖症治疗中的研究进展[J]. 中国社区医师, 2025, 41(8):9-11. DOI:10.3969/j.issn.1007-614x.2025.08.003 . |
| SONG Y, MENG H S, YANG Q W, et al. Exploration of research progress on traditional Chinese medicine therapy in treatment of obesity based on theory of "circular flow of Qi"[J]. Chin Community Dr, 2025, 41(8):9-11. DOI:10.3969/j.issn.1007-614x.2025.08.003 . | |
| [5] | WEI J L, LILY L, LIN Z C, et al. Acupoint catgut embedding versus acupuncture for simple obesity: a systematic review and Meta-analysis of randomized controlled trials[J]. J Tradit Chin Med, 2022, 42(6):839-847. DOI: 10.19852/j.cnki.jtcm.202 2.06.001 . |
| [6] | WANG L, YU C C, LI J, et al. Mechanism of action of acupuncture in obesity: a perspective from the hypothalamus[J]. Front Endocrinol, 2021, 12:632324. DOI:10.3389/fendo. 2021.632324 . |
| [7] | KIM H, KIM K W, CHUNG W S. Effects of moxibustion for obesity: a protocol for systematic review and meta-analysis[J]. Medicine, 2021, 100(48): e27910. DOI:10.1097/MD.00000 00000027910 . |
| [8] | JIN M K, JIAO L, LI J, et al. Effectiveness and safety of massage in the treatment of obesity: a protocol for systematic review and meta-analysis[J]. Medicine, 2021, 100(12): e25249. DOI:10.1097/MD.0000000000025249 . |
| [9] | CONG Z R, TAI Y X, GAO T J, et al. The effect of therapeutic massage on patients with obesity: a systematic review and meta-analysis[J]. Heliyon, 2024, 10(7): e28791. DOI:10.1016/j.heliyon.2024.e28791 . |
| [10] | ZHOU M M, ZHANG Q X, HUO M Z, et al. The mechanistic basis for the effects of electroacupuncture on neuropathic pain within the central nervous system[J]. Biomed Pharmacother, 2023, 161:114516. DOI:10.1016/j.biopha.2023.11 4516 . |
| [11] | ULETT G A, HAN S, HAN J S. Electroacupuncture: mechanisms and clinical application[J]. Biol Psychiatry, 1998, 44(2):129-138. DOI:10.1016/s0006-3223(97)00394-6 . |
| [12] | 张迎鑫, 杨敏, 白雪兵, 等. 羊腧穴Telocytes形态特征及其与周围结构的关系[J]. 中国农业科学, 2023, 56(7):1417-1428. DOI:10.3864/j.issn.0578-1752.2023.07.017 . |
| ZHANG Y X, YANG M, BAI X B, et al. Morphological characteristics of telocytes at sheep acupoints and its relationship with surrounding structures[J]. Sci Agric Sin, 2023, 56(7):1417-1428. DOI:10.3864/j.issn.0578-1752.2023.0 7.017 . | |
| [13] | VANNUCCHI M G, TRAINI C, MANETTI M, et al. Telocytes express PDGFRα in the human gastrointestinal tract[J]. J Cell Mol Med, 2013, 17(9):1099-1108. DOI: 10.1111/jcmm.12134 . |
| [14] | 陈秋生. 中医经络实质研究的新进展[J]. 针刺研究, 2021, 46(6):533-540. DOI:10.13702/j.1000-0607.201045 . |
| CHEN Q S. New progresses of studies on essence of meridian-collaterals of traditional Chinese medicine[J]. Acupunct Res, 2021, 46(6):533-540. DOI:10.13702/j.1000-0607.201045 . | |
| [15] | MEI L, ZHU Q M, BAI X B, et al. Cellular evidence for telocytes mediating electroacupuncture to ameliorate obesity in mice[J]. Microsc Microanal, 2023, 29(5):1746-1754. DOI:10.1093/micmic/ozad092 . |
| [16] | JIN A N, KAN Z B, TAN Q S, et al. Supplementation with food-derived oligopeptides promotes lipid metabolism in young male cyclists: a randomized controlled crossover trial[J]. J Int Soc Sports Nutr, 2023, 20(1):2254741. DOI:10.1080/15502783.2 023.2254741 . |
| [17] | 涂长春, 李晓宇, 杨军平, 等. 荷叶生物总碱对肥胖高脂血症大鼠减肥作用的实验研究[J]. 江西中医学院学报, 2001, 13(3):120-121. DOI:10.3969/j.issn.1005-9431.2001.03.020 . |
| TU C C, LI X Y, YANG J P, et al. Experimental study on the effect of total alkaloids from Lotus leaves on weight loss in obese and hyperlipidemia rats[J]. J Jiangxi Coll Tradit Chin Med, 2001, 13(3):120-121. DOI:10.3969/j.issn.1005-9431.2001.03.020 . | |
| [18] | 杜杰慧, 刘婷, 许扬. 中药外治法治疗肥胖症176例临床观察[J]. 中国民间疗法, 2008, 16(4):14-15. DOI: 10.19621/j.cnki.11-3555/r.2008.04.017 . |
| DU J H, LIU T, XU Y. Clinical observation on 176 cases of obesity treated by external treatment of traditional Chinese medicine[J]. China's Naturopathy, 2008, 16(4):14-15. DOI: 10.19621/j.cnki.11-3555/r.2008.04.017 . | |
| [19] | SURWIT R S, FEINGLOS M N, RODIN J, et al. Differential effects of fat and sucrose on the development of obesity and diabetes in C57BL/6J and A/J mice[J]. Metabolism, 1995, 44(5):645-651. DOI: 10.1016/0026-0495(95)90123-x . |
| [20] | WEE C L, MOKHTAR S S, SINGH K K B, et al. Calcitriol supplementation ameliorates microvascular endothelial dysfunction in vitamin D-deficient diabetic rats by upregulating the vascular eNOS protein expression and reducing oxidative stress[J]. Oxid Med Cell Longev, 2021, 2021:3109294. DOI: 10.1155/2021/3109294 . |
| [21] | GEIGER R, GAUTSCHI M, THOR F, et al. Folding, quality control, and secretion of pancreatic ribonuclease in live cells[J]. J Biol Chem, 2011, 286(7):5813-5822. DOI:10.1074/jbc.M110. 171694 . |
| [22] | TENG J Q, CHEN J, YU X, et al. Electroacupuncture for obesity: a systematic review and meta-analysis[J]. Asian J Surg, 2023, 46(11):4844-4845. DOI:10.1016/j.asjsur.2023.05.130 . |
| [23] | CRETOIU S M, POPESCU L M. Telocytes revisited[J]. Biomol Concepts, 2014, 5(5):353-369. DOI: 10.1515/bmc-2014-0029 . |
| [24] | 汪丽, 金慧玲, 张汝芝. 特络细胞的基础结构、免疫表型和细胞连接及其功能[J]. 中国组织化学与细胞化学杂志, 2016, 25(6):540-542. DOI:10.16705/j.cnki.1004-1850.2016.06.013 . |
| WANG L, JIN H L, ZHANG R Z. The morphology, immunophenotypes, cell junctions and putative roles of telocytes[J]. Chin J Histochem Cytochem, 2016, 25(6):540-542. DOI:10.16705/j.cnki.1004-1850.2016.06.013 . | |
| [25] | WANG W, ZHU N, YAN T, et al. The crosstalk: exosomes and lipid metabolism[J]. Cell Commun Signal, 2020, 18(1):119. DOI:10.1186/s12964-020-00581-2 . |
| [26] | THAKUR A, JOHNSON A, JACOBS E, et al. Energy sources for exosome communication in a cancer microenvironment[J]. Cancers (Basel), 2022, 14(7):1698. DOI: 10.3390/cancers1407 1698 . |
| [27] | 中华中医药学会«中医体重管理临床指南»专家组, 广东省针灸学会肥胖专病联盟. 肥胖症中医诊疗方案专家共识[J]. 北京中医药大学学报, 2022, 45(8):786-794. DOI: 10.3969/j.issn.1006-2157.2022.08.006 . |
| Panel of Clinical Guideline for Body Weight Management in TCM of China Association of Chinese Medicine, Obesity League of Guangdong Association of Acupuncture-Moxibustion. Expert consensus on diagnosis and treatment of obesity in TCM[J]. J Beijing Univ Tradit Chin Med, 2022, 45(8):786-794. DOI: 10.3969/j.issn.1006-2157.2022.08.006 . | |
| [28] | SHI Y H, WU R Z, ZHANG Y, et al. Telocytes in different organs of vertebrates: potential essence cells of the meridian in Chinese traditional medicine[J]. Microsc Microanal, 2020, 26(3):575-588. DOI:10.1017/S143192762000 1518 . |
| [1] | GAO Chaoqi, ZHU Zhibo, SUN Xiandong. Application Progress and Classification Analysis of Rat Vascular Remodeling Models [J]. Laboratory Animal and Comparative Medicine, 2025, 45(5): 542-550. |
| [2] | LIU Liyu, JI Bo, LIU Xiaoxuan, FANG Yang, ZHANG Ling, GUO Tingting, QUAN Ye, LI Hewen, LIU Yitian. Exploration of Rat Fetal Lung Tissue Fixation Methods [J]. Laboratory Animal and Comparative Medicine, 2025, 45(4): 432-438. |
| [3] | QIN Chao, LI Shuangxing, ZHAO Tingting, JIANG Chenchen, ZHAO Jing, YANG Yanwei, LIN Zhi, WANG Sanlong, WEN Hairuo. Study on the 90-day Feeding Experimental Background Data of SD Rats for Drug Safety Evaluation [J]. Laboratory Animal and Comparative Medicine, 2025, 45(4): 439-448. |
| [4] | JIANG Meng, HAO Shulan, TONG Liguo, ZHONG Qiming, GAO Zhenfei, WANG Yonghui, WANG Xixing, JI Haijie. Dynamic Evaluation of Vinorelbine-Induced Phlebitis of Dorsalis Pedis Vein in a Rat Model [J]. Laboratory Animal and Comparative Medicine, 2025, 45(3): 251-258. |
| [5] | PAN Yicong, JIANG Wenhong, HU Ming, QIN Xiao. Optimization of Surgical Procedure and Efficacy Evaluation of Aortic Calcification Model in Rats with Chronic Kidney Disease [J]. Laboratory Animal and Comparative Medicine, 2025, 45(3): 279-289. |
| [6] | LIU Zhiwei, YANG Ran, LIAN Hao, ZHANG Yu, JIN Lilun. Cartilage Protection and Anti-Inflammatory Effects of Fraxetin on Monosodium Iodoacetate-Induced Rat Model of Osteoarthritis [J]. Laboratory Animal and Comparative Medicine, 2025, 45(3): 259-268. |
| [7] | LIAN Hui, JIANG Yanling, LIU Jia, ZHANG Yuli, XIE Wei, XUE Xiaoou, LI Jian. Construction and Evaluation of a Rat Model of Abnormal Uterine Bleeding [J]. Laboratory Animal and Comparative Medicine, 2025, 45(2): 130-146. |
| [8] | WEI Yanye, SHEN Guo, ZHANG Pengfei, SHI Songping, HU Jiahao, ZHANG Xuzhe, HUA Huiyuan, HUA Guanyang, LU Hongzheng, ZENG Yong, JI Feng, WEI Zhumei. Dynamic Monitoring and Correlation Analysis of General Body Indicators, Blood Glucose, and Blood Lipid in Obese Cynomolgus Monkeys [J]. Laboratory Animal and Comparative Medicine, 2025, 45(1): 30-36. |
| [9] | YIN Yulian, MA Lina, TU Siyuan, CHEN Ling, YE Meina, CHEN Hongfeng. Establishment and Evaluation of a Rat Model of Non-Puerperal Mastitis [J]. Laboratory Animal and Comparative Medicine, 2024, 44(6): 587-596. |
| [10] | YANG Jin, YU Shiya, LIN Nan, FANG Yongchao, ZHAO Hu, QIU Jinwei, LIN Hongming, CHEN Huiyan, WANG Yu, WU Weihang. Effect of Modified Duodenal Exclusion Surgery on Glucose Metabolism in Rats with Type 2 Diabetes Mellitus [J]. Laboratory Animal and Comparative Medicine, 2024, 44(5): 523-530. |
| [11] | QI Longju, CHEN Shiyuan, LIAO Zehua, SHI Yuanhu, SUN Yuyu, WANG Qinghua. Transcriptomic Analysis of Menstrual Blood-Derived Stem Cells Transplantation Combined with Exercise Training in Promoting Spinal Cord Injury Recovery in Rats [J]. Laboratory Animal and Comparative Medicine, 2024, 44(5): 531-542. |
| [12] | ZHANG Naiqun, YUAN Piaopiao, CAO Linrong, YING Na, YANG Taotao. Application of PNR Detection in the Diagnosis and Drug-efficacy Evaluation of Diabetic Kidney Disease in Rats [J]. Laboratory Animal and Comparative Medicine, 2024, 44(5): 543-549. |
| [13] | ZHENG Yiqing, DENG Yasheng, FAN Yanping, LIANG Tianwei, HUANG Hui, LIU Yonghui, NI Zhaobing, LIN Jiang. Application Analysis of Animal Models for Pelvic Inflammatory Disease Based on Data Mining [J]. Laboratory Animal and Comparative Medicine, 2024, 44(4): 405-418. |
| [14] | XIAO Pan, WANG Hongyi, LU Lu, ZHANG Mei, CHEN Keming, SHEN Dongshuai, NIU Tingxian. Screening of Hypoxia-Sensitive and Hypoxia-Tolerant Wistar Rats and Preliminary Exploration of Hypoxia Sensitivity in Their G1 Generation [J]. Laboratory Animal and Comparative Medicine, 2024, 44(4): 374-383. |
| [15] | Xiaoyu ZHU, Hantao YUAN, Sibo LI. MicroRNA-887-3p Inhibited MDM4 Expression and Proliferation but Promoted Apoptosis of Intervertebral Disc Annulus Fibrosus Cells in Rats [J]. Laboratory Animal and Comparative Medicine, 2024, 44(3): 270-278. |
| Viewed | ||||||
|
Full text |
|
|||||
|
Abstract |
|
|||||