树鼩Vasorin单克隆抗体的制备及其应用探索
|
|
欧美珍, 李泳锋, 温莎, 廖舟翔, 黄雪静, 何敏, 杨丽超
|
Preparation of Monoclonal Antibody to Vasorin in Tree Shrew and Exploration of Its Application
|
|
OU Meizhen, LI Yongfeng, WEN Sha, LIAO Zhouxiang, HUANG Xuejing, HE Min, YANG Lichao
|
|
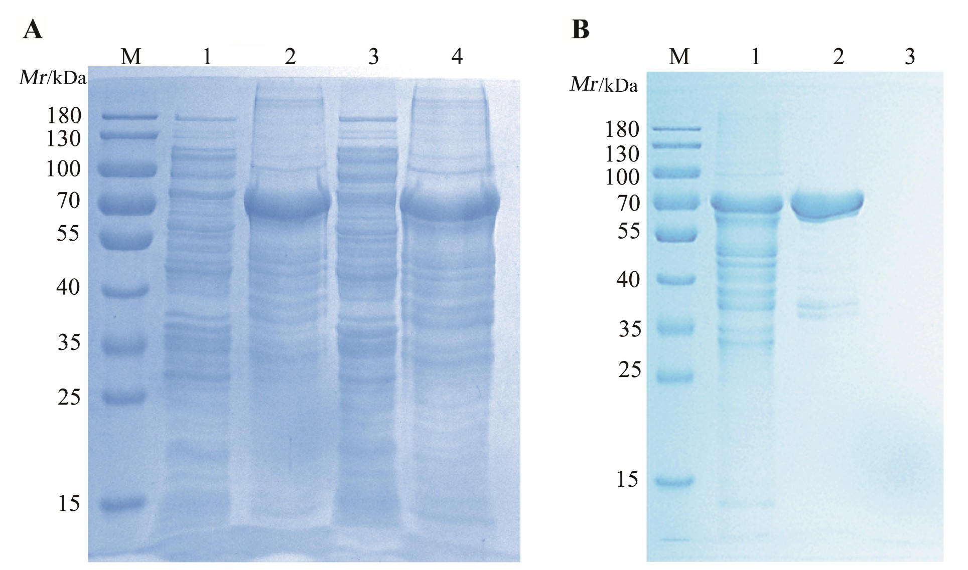
图2 VASN重组蛋白的表达与纯化 注:A,VASN重组蛋白的表达(M,蛋白质分子量标准;1,未诱导的pET-30a-VASN上清;2,未诱导的pET-30a-VASN沉淀;3,经诱导的pET-30a-VASN上清;4,经诱导的pET-30a-VASN沉淀);B,VASN重组蛋白的纯化(M,蛋白质分子量标准;1,VASN重组蛋白纯化前;2,VASN重组蛋白纯化后;3,蛋白上样缓冲液)。
|
Figure 2 Expression and purification of VASN recombinant protein Note: A, Expression of VASN recombinant protein (M, Protein marker; 1, Uninduced pET-30a-VASN supernatant; 2, Uninduced pET-30a-VASN precipitate; 3, Induced pET-30a-VASN superna-tant; 4, Induced pET-30a-VASN precipitate); B, Purification of VASN recombinant protein (M, Protein marker; 1, Before purifi-cation of VASN recombinant protein; 2, After purification of VASN recombinant protein; 3, Protein loading buffer).
|
|
|
|
|