药物非临床生殖毒性试验中动物妊娠的主要难点及应对方法
刘鹍, 兰青, 易兵, 谢晓婕

Key Challenges and Mitigation Strategies for Animal Pregnancy in Non-clinical Reproductive Toxicity Testing of Drugs
LIU Kun, LAN Qing, YI Bing, XIE Xiaojie
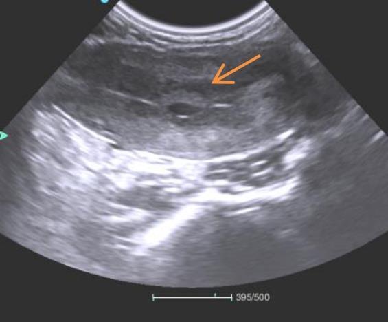
图2 妊娠初期雌猴孕囊B超切面
注:图中箭头所指区域可见成型的孕囊结构。
Figure 2 Ultrasound cross-sectional view of gestational sac in a female monkey during early pregnancy
Note:The area indicated by the arrow in the figure shows a well-formed gestational sac structure.