鳞状皮屑裸小鼠木糖葡萄球菌的分离鉴定
孔志豪, 魏晓锋, 于灵芝, 冯丽萍, 朱琦, 施国君, 王晨

Isolation and Identification of Staphylococcus xylosus in Nude Mice with Squamous Skin Scurfs
KONG Zhihao, WEI Xiaofeng, YU Lingzhi, FENG Liping, ZHU Qi, SHI Guojun, WANG Chen
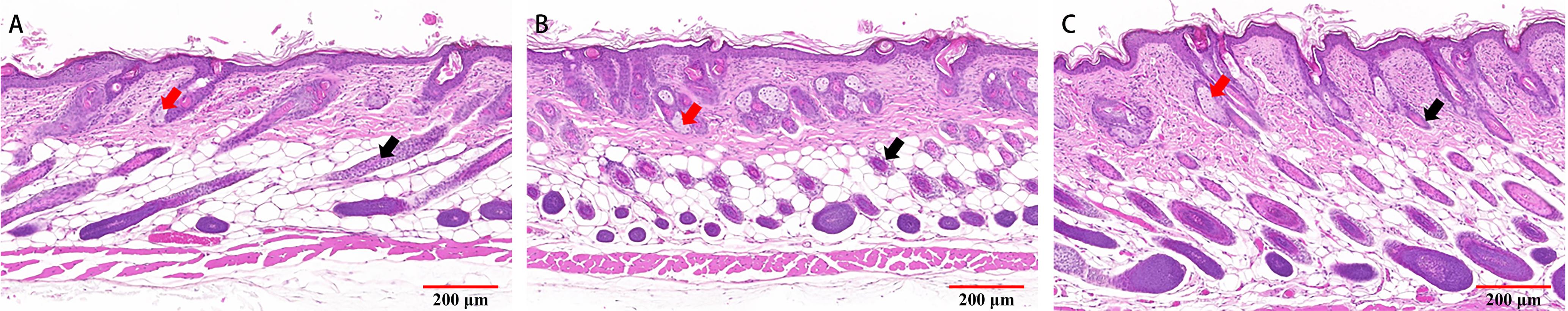
图5 分离菌感染后鳞状皮屑裸小鼠的皮肤组织病理学变化(HE染色,×100)
注:A,对照组;B,低浓度组;C,高浓度组。黑色箭头指示真皮毛囊,红色箭头指示皮脂腺(比例尺大小为200 μm)。
Figure 5 Pathological changes in skin tissues of nude mice with squamous skin scurfs after infection with isolated bacteria (HE staining, ×100)
Note: A, Control group; B, Low concentration group; C, High concentration group. Black arrow indicates dermal hair follicle; red arrow indicates sebaceous gland (Scale bar: 200 μm).